!-->

口腔正畸是对畸形牙的一种矫正,而拥有整齐的牙齿不仅让我们可以拥有自信笑容,同时更是对我们美观的一种提升。但是由于如今正畸医疗机构很多,各处价格不一,那么,广州口腔正畸价格贵不贵呢?

表示对于口腔正畸的价格并不能给出一个特定数字,因为它受到多方面因素影响,以下就是口腔正畸价格的影响因素:
1、矫正方法的选择
如今,口腔正畸的方法许许多多,主要是正畸与烤瓷矫正两大类,而口腔正畸矫治器的类型也有多种,牙齿正畸是采用生物力学原理对牙颌畸形进行矫治,通过粘接在牙齿上的各种口腔正畸的矫治器,对牙齿施加机械力量,将牙齿排列整齐,使其恢复正常的排列和咬合功能,同时也促进了口腔的健康,而不是单纯为了美观。不同的口腔正畸矫治器的矫正特点各不一样,口腔正畸价格是多少各不一样,更具个人错颌的特点和程度的情况,选择适合自己的口腔正畸器,方能有效提高口腔正畸的矫治速度。烤瓷矫正的材料更是种类繁多。哪一种矫正牙齿好?
2、患者自身具体状况
患者的年龄、病情的复杂程度和治疗难易程度的不同,一般人认为牙齿正畸只是青少年儿童的事,其实矫正没有严格的年龄限制,单纯牙齿的畸形,一般在11岁或12岁换完恒牙后,就可以进行矫治。与青少年口腔正畸相比较,成人由于错颌时间较长,往往存在龋齿和严重的牙周炎问题,正畸的复杂性和难度相对较大。因此,这些因素易会影响到口腔正畸价格。

3、地区、医院的不同
一线城市自然会比二线城市贵。大医院由于的水平高,自然也比小医院贵,普通口腔正畸整个周期的费用是八千到一万左右元,如果是使用金属托槽,以后每个月复诊一次,每次根据治疗情况及材料收费。另外,口腔正畸前期治疗包括检查、拍X光片,设计、分牙、粘托槽,有的可能需要拔牙。口腔正畸前期治疗费用一般为总费用的三分之一左右。
提醒口腔正畸的价格是其次,重要的是正畸效果。而口腔正畸我们首先要重视正畸的较佳时间以及正畸医疗机构的选择。

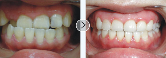
美颜正畸系统,矫正牙齿于无形!
广州越秀圣贝口腔门诊部引进美颜正畸系统,不需要托槽和钢丝,是采用内窥镜检查,全景片检查通过计算机进行三维快速成像,确定牙齿分布状况,再根据力学原理和靶向定位着力点,植入新的与牙齿相容的仿生材料,用聚能的力量将畸形牙移动,后平移成成正常的排列状态,通过3至6个月在无形中达到矫治效果。