!-->

生活中牙齿发黄,发黑却是几乎都杜绝不了的情况,这让爱美人士一般困扰,怎样才能拥有以口洁白靓丽的健康好牙呢?炫彩美白将成为你好的选择,炫彩美白牙齿凭借自然,美白效果好等优点受到了广大爱美人士的喜爱,它的效果已经得到了人们的肯定,那么炫彩美白牙齿要多少钱呢?

炫彩美白牙齿要多少钱
1、与患者自身情况有关,每个人牙齿变色的情况是不同的,有的是严重的四环素牙,有的只是因咖啡、可乐等造成的外源性着色。具体的牙齿情况不同,所设计的美白方案也不同,光谱炫彩美白的价格也就不一样。牙齿美白医院哪家好?
2、与所选择的不同有关,水平高、经验丰富的能够在美牙前为患者设计出周密的方案,每个细节都经过缜密考虑,在、舒适和精准的诊疗中使患者重获功能与美观并重的牙齿,因此收费就要比普通高。
3、与所选择的不同医院有关,表示,光谱炫彩美白是利用特殊冷光作用在高浓度过氧化氢上来达到美白效果的,需要由专业的牙医师和冷光操作员来完成。专业的整形医院往往拥有连锁先进的医疗设备和临床经验丰富的牙医,这就有效保证了牙齿美白的效果和性。

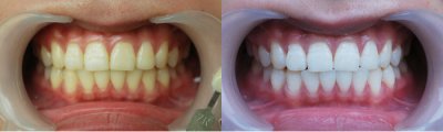
广州越秀圣贝口腔门诊部口腔推出——炫彩美白系统
炫彩美白系统,是目前连锁上先进的牙美白之一,它运用了光谱原理,采用低温蓝光,隔出一切有害的紫外线与红外线,完全避免了操作过程中的不适与刺激、对周围组织的副作用。一次性30分钟至45分钟的治疗,可使牙齿平均提高5—14个VITA色阶,并使治疗后的牙齿具有自然的光泽,打破了传统冷光美白的局限性,克服了传统冷光美白时牙齿酸痛,美白后牙龈过敏的窘境。具有高效快速、保护牙齿、舒适、效果持久等优点。