!-->

网友提问:我的牙齿不齐,想做牙齿矫正,想请问牙齿矫正一般需要多久时间才能完成矫正。

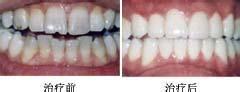
广州越秀圣贝口腔门诊部口腔介绍:一般矫正需要一年半到两年左右。一般儿童比成人要快一些,拔牙治疗比不拔牙治疗时间要长一些。复杂的错和畸形比简单的错和畸形治疗时间要长。骨骼畸形比单纯牙性畸形的矫治时间要长一些。每个人的情况都不一样,要具体情况具体分析,治疗时间上也要具体情况具体分析。矫正完成后,一般需戴用保持器大约一年半。矫正牙齿的医院如何选择?
牙齿矫正的注意事项:
1、要去正规医院,做正规治疗,千万不要相信什么牙科诊所,虽然贵点,但是效果好,能有保障。
2、你在做牙齿矫正的时候,如果说你的牙齿缝隙太小,要把牙齿磨小一点,再做矫正,你千万千万别磨,因为牙齿外面有一层保护膜,你磨小牙齿的同时,会把保护膜磨掉,以后无论怎样保护,都会很容易得龋齿,尤其是做矫正,是前排牙齿,不象后槽牙,补了看不出来,前面的牙齿一旦得了龋齿,补都很难补。
3、牙套带好后,每次吃好饭后牙齿都会卡很多饭菜,就算漱口也很难弄干净,矫正前需考虑清楚。

圣贝正畸——美颜正畸
美颜正畸将韩国微整形美容与数控隐形矫正的完美结合,通过牙齿矫正过程中牙槽骨的移动,改变整个牙列的排列,从而带动整个面部骨骼群的和谐重组改建,在对面部和牙齿几乎""的情况下,美颜正畸矫牙术可以同步解决矫牙美容双重难题。让您拥有一副整齐靓丽的好牙不再是梦!
美颜正畸采用内窥镜检查,全景片检查通过计算机进行三维快速成像,确定牙齿分布状况,再根据力学原理和靶向定位着力点,植入新的与牙齿相容的仿生材料,用聚能的力量将畸形牙移动,后平移成成正常的排列状态,通过3至6个月在无形中达到矫治效果。