!-->

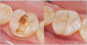
广州哪里可以治疗蛀牙?广州越秀圣贝口腔门诊部指出蛀牙是指牙齿组织受到破坏,由牙齿表面的珐琅质开始,逐渐蔓延至牙齿的深层组织。目前牙科诊所多数才用补牙、拔牙或者根管治疗,在治疗过程如果医院设备、不到位的话甚至会产生剧烈疼痛,而这也是许多朋友关心的问题,那么如何治疗蛀牙呢?下面来看具体介绍:

如何治疗蛀牙?
有蛀牙首先考虑的应该是修复和修补,如果是较小的蛀洞,使用生物咀嚼片可直接修复中止蛀蚀;如果蛀洞较大的,则考虑去医院补牙;无法修补的,才考虑镶牙,只有毫无保留价值的牙齿才会拔掉,因为牙齿是拔一颗少一颗的,拔牙后如果不做镶牙,其他好牙也会很快受影响的。怎么有效的预防蛀牙?
一般如果去看的话,一般会建议是抽掉牙髓,做根管治疗,好处是以后没有牙髓了,就不会疼痛了。坏处是这颗被抽掉神经的牙,就成了“死牙”了,以后是不可能再变为有感觉的活牙了;相反,如果根管治疗的过程中没做好,抽取神经不够干净,导致根管发炎,会持续痛苦一段时间的,也无法重做。
广州越秀圣贝口腔门诊部提醒:绝大多数蛀牙引起的牙髓炎都不需要杀神经的,只有深度感染型牙髓炎,牙齿剧痛并且经常引发急性牙龈炎,无法控制的时候,才需要杀神经。因为牙齿杀神经后就变成了无知觉的死牙,问题也并非一了百了。

广州越秀圣贝口腔门诊部口腔您使用治疗系统治疗蛀牙
系统让整个治牙过程出血极少,几乎,不需麻醉,可用于蛀牙的根管治疗、牙周病治疗、人工种植牙、牙髓病及口腔软组织切除等方面,是目前口腔治疗的新,代表了口腔诊疗人性化、化和化的发展方向。
广州越秀圣贝口腔门诊部连锁牙科连锁医疗机构拥有先进口腔诊疗设备,为您提供精准的口腔诊疗支持;严格执行米拉格消毒灭菌管理,超越您对卫生条件的高要求;拥有心理学级别的就医环境,连锁标准的口腔四手操作,使您在舒适、平静、的感觉中完成整个诊疗护理过程,避免自发的恐惧和疼痛的心理暗示。以上就是关于广州哪里可以治疗蛀牙的相关介绍,如果您还有疑问可在线预约我院为您做更详细的解答。