!-->

看着母亲大口吃肉,那个香啊,林先生顿时泪如雨下。“原来母亲这么爱吃肉,都怪我太不细心了。幸好从此以后母亲不用再受罪了,否则我会内疚一辈子。”从今年7月至今,不到半年的时间,林先生的母亲从半口缺牙只能吃素,到现在满口好牙,吃嘛嘛香……林先生把这归功于圣贝的种植术,“因为有了这样的高新,我们做子女的才能更好地尽孝道。”

母亲的秘密吃素,只是无奈的选择
“小时候母亲很辛苦,既当爹又当妈,那时候母亲总是把大块大块的肉挑出来给我和妹妹吃,自己从来不吃。”说起母爱,七尺男儿很动容:“年过半百,家里生活好了,母亲的牙齿却逐渐下岗,为她配了一口活动假牙,可她却很少戴。从那时候起她就爱吃素,从不沾肉。”“母亲身体一直很硬朗,可这两三年却明显消瘦苍老了许多,她总是安慰我们说有钱难买老来瘦”。直到有一天,已经是一家公司老总的林先生回家看望母亲时,母亲正在吮吸给孙子买来却没吃完的糖醋排骨。林先生好 奇地问:“您不是说吃素不吃肉吗,糖醋排骨不算‘斋饭’哦!”母亲尴尬地笑着说:“哎,吃素是没办法,你是没掉牙不知道戴假牙的感受,又笨重又不舒服,每次吃肉咀嚼时牙龈都摩擦得生疼生疼!”种植牙有年龄限制吗?
看着如今已经近70岁的老母亲,林先生悔恨不已,“怪不得母亲突然不吃肉呢,原来是没牙吃不了,我怎么这么不细心呢?”

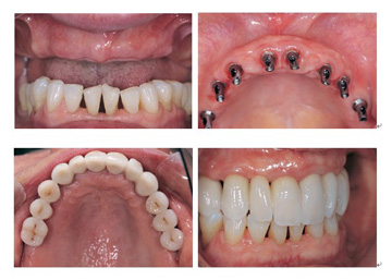
今年7月,林先生从报纸上得知圣贝牙科聚集众多连锁知名种植亲诊,当即替母亲报了名。经过仔细的检查后,确定林先生的母亲可以进行种植,但需要植骨修补一下。林先生毫不犹豫地说:“只要能让我母亲有牙能吃肉,怎么样都行,材料你给我选好的。”
一个下午时间,在圣贝连锁牙科门诊12颗人工牙根就种入了其母口中。林先生直感叹:现在科技真是太发达了,要是早点引进就好了,可以让天下多少辛劳了一辈子的父母享受活色生香的健康美食!
上一篇:广州补牙去哪里好 附近靠谱的正规口腔推荐
下一篇:广州儿童牙齿不齐矫正需要多少钱