!-->

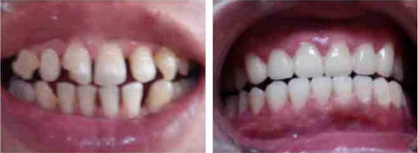
牙列稀疏的种类有哪些?广州越秀圣贝口腔门诊部医科的介绍:牙列稀疏也称牙齿空隙,一般分为四种类型,根据牙列稀疏的形成原来来进行矫治对于牙齿的危害是小的。

牙列稀疏的四种类型:
一、牙体形态小,颌骨形态正常。
二、先天缺牙,颌骨形态正常。
三、牙体形态正常,颌骨过大。
四、拔牙后不镶牙,引起近远中邻牙移位而产生间隙。
根据病因矫治,如集中间隙修复缺隙,关闭牙间隙。舌体过大在舌体整形后再矫治关闭间隙。吞咽及舌功能异常者在纠正异常吞咽,除训练外尚需要适当引导舌趋于正常位置。种一颗牙需要多少钱?
广州越秀圣贝口腔门诊部介绍:患者5-6岁左右,口内一般是乳牙,在这一时期,如果患儿牙齿数目、形态、大小正常,同时颌骨发育正常,牙列中出现散在的间隙,看似牙列稀疏,然而这一般是正常的。此有利于恒牙的正常萌出,临床上一般毋需矫治。如果牙体态小,颌骨形态正常;口内先天缺牙,颌骨形态正常;牙体形态正常,颌骨过大等,其往往造成牙列稀疏,此为疾病的征象,需加以矫治。

从6岁至12岁左右,此年龄段内,口内乳恒牙同时存在,这一时期牙列稀疏不常见,临床上常见到的乳牙早脱或恒牙迟萌以及由于唇系带附离异常所致的牙间间隙,此一时期只要针对病因,对症矫治,常可收到较好矫治效果。
在乳牙全部替换掉、恒牙萌出后,由概述中所述及的四种类型所致的牙列稀疏,只要及早矫治,一定较好,若错过12-16岁这一年龄后再行矫治,往往疗程较长、不能肯定,此期可正颌手术治疗。
牙列稀疏易于嵌塞食物而损伤牙周组织,引起牙龈炎,牙周炎,同时易于龋变。严重者可影响患者的容貌美观,造成心理精神障碍。此病及早根据引起牙列稀疏的原因,进行不同方法的矫治。

成人牙列稀疏的矫治方法:美颜正畸系统。
广州越秀圣贝口腔门诊部引进的美颜正畸系统,由于没有传统意义上的托槽、钢丝等矫正装置,让人们在矫正过程更加舒适,适用于牙齿排列不齐,上下牙弓异常,颌骨大小、形态、位置异常等,疗程时间短,可缩短6个月以上,复诊时间间隔长,由传统固定正畸每4周复诊一次延长至8到10周一次。而且采用的自锁式托槽外形小巧、美观、性好。是矫治牙列稀疏合适的方式。
以上便是关于牙列稀疏的危害的相关介绍,希望对您有所帮助,如果您还有什么疑问请点击在线预约服务,广州越秀圣贝口腔门诊部医科的会为您做一个详细的介绍。您也可以点击在线预约服务,进行网上预约,免除一切繁杂的程序,省时省心省力,到院即进行矫治。