!-->

遗传性色素牙让人们很困扰,尤其是爱漂亮的女生,明明很注意口腔卫生却还是有一口发黄的牙齿,影响了自己的外在美观。那么遗传性色素牙能美白吗?

【患者案例】
姓名:王小姐
年龄:26岁
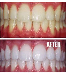
牙齿问题:牙齿深度发黄,典型的遗传性色素牙
治疗目的:通过牙齿美白恢复牙白
王小姐今天26岁正值成熟美貌的年龄,却患有一口典型的遗传性色素牙。王小姐说道,正值爱情事业期的她因为这口难看的遗传性色素牙多次受挫,工作交友再也自信不起来,对这口牙齿的爱护保洁一直都很细心,却还是不能让它洁白起来,在经过在线预约广州越秀圣贝口腔门诊部口腔后,王小姐终于了解到自己的牙齿发黄是遗传的,属于内源性因素。牙齿发黄发黑怎么治疗?
广州越秀圣贝口腔门诊部介绍:平常的牙齿口腔护理,洗牙根本无法解决王小姐的牙齿发黄问题,这给她的工作和生活带来了很大的困扰。而我院给她了美容冠,美白效果显着,王小姐在思考后决定使用美容冠美白牙齿从此脱离这口难看的遗传性色素牙。

【色素牙美白美容冠介绍】
美容冠是目前美学效果好的性牙齿美容修复方法。如此卓越的源自它对材料近乎苛刻的要求:美容冠外层是航天飞机的耐高温陶瓷,与真牙透光性相匹配,色泽自然,抗压强度高,同时制作工艺也相当复杂,集高温、铸造、粘结等为一体。
美容冠的适应症相当广泛,可将严重的口腔牙列不齐、牙缝、四环素牙、氟斑牙、畸形牙、变色牙及各种牙齿缺损、牙齿缺失和烤瓷失败边缘发青等进行修复,让有牙病患者能够如愿以偿,恢复整齐洁白牙齿。除此之外,患有牙周疾病的患者和龋齿患者,也可以通过美容冠解除疾病。
以上就是对“遗传性色素牙能美白吗”的介绍,希望以上的小案例对大家有所帮助。后提醒,如果还有疑问请点击在线预约,我院会即时为您解答,让您对牙齿问题有着更全面的了解。