!-->

牙齿发黑让我们在生活交友上都不够自信,使我们的工作受到极多的影响,因此牙齿发黑一定要进行牙齿美白,那么牙齿发黑的美白方法有哪些呢?下面广州越秀圣贝口腔门诊部为大家介绍。

牙齿发黑分为内源性及外外源性两种。但无论是哪一种都会影响我们的外在美观,以及破坏我们的口腔环境。为什么牙齿会变黑?
广州越秀圣贝口腔门诊部介绍道,牙齿发黑的美白方法有很多:
一、洗牙:普通的超声洗牙只能去除牙石,但很难清洗到牙邻面或间隙中的色素沉着,因此对色素沉积的牙齿发黑效果不大。但洗牙可以清除口腔内的牙菌斑和牙石,保护口腔健康。
二、化学美白:即物漂洗法,主要适用于轻度外源性色素牙,但物漂白很容易使牙齿钙化,使牙齿极易脱落。因此不。
三、炫彩美白:是目前先进的美白,在美白牙齿的同时还能坚固牙齿。

广州越秀圣贝口腔门诊部引进的炫彩美白适用于一般外因性色素牙(咖啡、茶渍、烟渍沉积)、中轻度四环素牙、氟斑牙、物性变色牙、遗传性黄牙等。美白效果更明显,护理得当有效可达10年。是目前连锁上先进的牙美白之一,它运用了光谱原理,采用低温蓝光,隔出一切有害的紫外线与红外线,完全避免了操作过程中的不适与刺激、对周围组织的副作用。一次性30分钟至45分钟的治疗,可使牙齿平均提高5—14个VITA色阶,并使治疗后的牙齿具有自然的光泽。
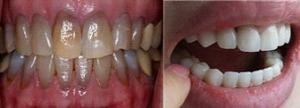
四、美容冠:美容冠超越了烤瓷牙,在烤瓷牙的基础上更强调牙齿的美容效果。是有效的牙齿美白矫正方法是目前一般流行的牙齿修复方法。不仅能解决牙齿变变发黄发黑的问题,还能解决牙齿不齐等情况,因此很多人会选择美容冠进行牙齿的美容修复问题。

广州越秀圣贝口腔门诊部的美容冠是目前美学效果好的性牙齿美容修复方法。如此卓越的源自它对材料近乎苛刻的要求:美容冠外层是航天飞机的耐高温陶瓷,与真牙透光性相匹配,色泽自然,抗压强度高,同时制作工艺也相当复杂,集高温、铸造、粘结等为一体。
美容冠的适应症相当广泛,可将严重的口腔牙列不齐、牙缝大、四环素牙、氟斑牙、畸形牙、变色牙及各种牙齿缺损、牙齿缺失和烤瓷失败边缘发青等进行修复,让有牙病患者能够如愿以偿,恢复整齐洁白牙齿。