!-->

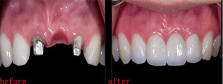
牙齿半口缺失好的解决方法就是选择种植牙,一旦牙齿缺失对我们正常生活的影响几乎无处不在,与固定义齿及活动义齿相比治标不治本的解决方法,种植牙才是更加较有效的修复缺牙的方法,那么牙齿半口缺失在治疗时需要注意什么?

【牙齿半口缺失注意事项】
第一、 牙齿半口缺失治疗医院的选择
广州越秀圣贝口腔门诊部除了拥有强大的支持和的团队,还采用先进的口腔服务理念。采用进口的种植牙系统并巨资引进的种植牙设备,严格坚持一人一消毒,我院的种植牙具有扎实的口腔理论基础和丰富的口腔临床工作经验,在种植体的选择使用、种植牙病例的检查设计、牙体种植以及种植后的维护等方面都具有一般丰富的实际经验,成功的案例不计其数,国内种植高达到98%,种植牙成活率可达100%。广州种植牙多少钱?
第二、 牙齿半口缺失治疗的选择
种植牙的适用范围一般广,对外伤及造成的骨和牙联合缺损、无牙颌,牙槽突裂、活动义齿基托有粘膜超敏反应、龋齿、甚至活动义齿摘戴困难者,面瘫患者及单侧或双侧游离缺失,单颗牙或多颗牙缺失,都可以进行有效的治疗并能够达到很好好的效果。

种植牙手术对的要求相当高,同时需要多个口腔医学临床科室的合作。为了保证您的治果建议有种植牙意向的患者到正规的口腔医院接受种植牙修复治疗,相信圣贝牙科是您不错的选择。