!-->

儿童龅牙的矫治要多少钱?广州越秀圣贝口腔门诊部介绍:儿童龅牙矫治的价格与很多因素都是分不开的。龅牙对于孩子的打击很大,很多小孩子都是“臭美”的,长了龅牙便与美“绝缘”,家长想为孩子矫治却担心矫治的费用太过昂贵,儿童龅牙矫治要多少钱呢?

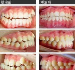
广州儿童龅牙矫正要多少钱?
广州越秀圣贝口腔门诊部连锁牙科连锁医疗机构指出:儿童龅牙越早矫正,效果越好,花费的金钱也越少。不过儿童龅牙矫正的价格是不固定的,受到很多因素的影响。下面我们给大家详细的介绍。龅牙的几种矫治方法
一、矫正的方法不同,儿童龅牙矫正价格也不一样:儿童龅牙矫正的方法主要有传统的钢牙套和隐形牙套。钢牙套的价格更低,但是对美观有影响,而且相对更麻烦;隐形牙套是一个不错的方法,也没有钢牙套的缺点,但是价格更贵一些。
二、广州儿童龅牙矫正费用要看矫正时间的长短:对于成年人来说正畸时间要比青少年牙齿矫正时间要长,价格自然便宜;若是成人牙齿矫正,而且要带至少两三年牙套,一般牙齿矫正价格比较高,要视情况而定!
三、广州儿童龅牙矫正费用看要孩子具体的牙齿情况:有的孩子龅牙程度不是很严重,矫正的难度更小,费用会比较低;而有的孩子地包天情况严重,费用也要多得多。

广州越秀圣贝口腔门诊部连锁牙科美颜正畸系统
广州越秀圣贝口腔门诊部连锁牙科连锁医疗机构引进的美国美颜正畸系统是目前连锁上先进的隐形矫正系统,它具有隐蔽、美观、便捷等优势,采用内窥镜检查,全景片检查通过计算机进行三维快速成像,确定牙齿分布状况,再根据力学原理和靶向定位着力点,植入新的与牙齿相容的仿生材料,用聚能的力量将畸形牙移动,后平移成成正常的排列状态,只需3至6个月便可在无形中达到矫治效果,不受年龄限制,无论是成人还是儿童均适合,能够针对每一位患者设计出个性化的矫正方案。复诊次数少,极大解决了患者的宝贵时间。