!-->

儿童四环素牙是什么原因?在儿童中也有许多出现四环素牙的案例,四环素牙是一种很常见的色素牙,但儿童四环素牙是什么原因呢?

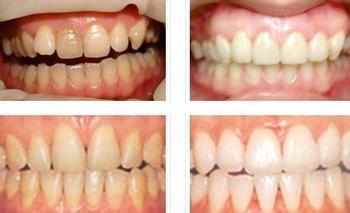
儿童四环素牙
广州越秀圣贝口腔门诊部指出,儿童牙齿应该是淡黄泛白的,但有的儿童却有一口发黄的牙齿。这就是因为在儿童6—7岁之前服用了过多的四环素而引起的。四环素牙的产生主要就是由于在儿童时期服用四环素,使牙齿本质着色,还会影响釉质的发育不全,危害极大。四环素牙治疗方法
儿童四环素牙主要有两个原因:
一、牙齿发育期间服用四环素类物。
在牙齿的生长发育的矿化期间,尤其是婴幼儿时期,服用过四环素类物。这些物可以与牙齿硬组织形成稳固的四环素钙复合物,导致牙齿变色。这种变色主要存在牙本质中,并由于抑制了牙齿硬组织的矿物化,还可能同时伴有牙釉质发育不全和钙化不全,导致儿童出现四环素牙。
二、孕期服用四环素
如果孕妇内服四环素,可通过胎盘屏障,与发育中的胎儿牙齿结合,生成四环素正磷酸盐复合物,在胎儿牙本质小管内沉着,使牙齿变色。四环素牙的着色程度,与牙齿的发育期有关,用四环素类物时,婴幼儿年龄越小,着色就越深。使用一次大剂量的四环素,就可以形成四环素牙。

广州越秀圣贝口腔门诊部牙特别提醒:
儿童四环素牙出现后应及早引起重视,及早到正规医院进行治疗。目前针对四环素牙好的解决办法是炫彩美白和美容冠,是目前牙齿修复美容好的选择。
温馨提示:各位口腔患者朋友,千万不要忽略口腔健康,如果您还有关于牙齿病症方面的问题,请点击在线预约通过在线预约牙管家免费预约,我们将为您提供优质的预约服务。