!-->

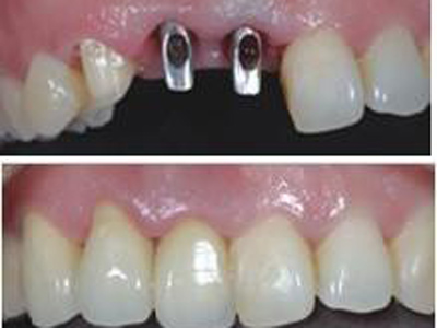
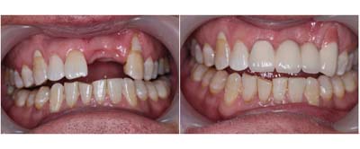
许多朋友对镶牙并不能接受,认为镶牙应该是老年人的事儿,而实际上在生活中因为各种不小心导致牙齿深龋、牙齿断裂的例子并不罕见,广州越秀圣贝口腔门诊部指出牙齿缺失、断裂会给生活带来各种不良影响,而这些影响都是可以避免的,那就是进行镶牙,那么广州镶牙多少钱一颗?想要知道镶牙的朋友关心的问题,很多到广州口腔医院进行镶牙预约的患者都会问到这个问题,针对镶一颗牙多少钱这个问题以下是详细介绍。

广州镶牙多少钱一颗?
广州越秀圣贝口腔门诊部连锁牙科连锁表示:对于拔牙镶牙多少钱没有一个确切的价格标注,在广州地区根据患者口腔的个体差异有所区别,从几百元左右到上千元甚至上万元不等,具体又根据个体情况的不同,又会有所浮动。镶牙前后注意事项
广州镶牙多少钱一颗与镶牙多少钱一颗具体要根据患才口腔的情况而定,如患者牙齿缺失的部位,牙齿缺失的数量及牙齿缺损的程度,从而决定了镶牙方式的不同,不同的镶牙方式,其选用的镶牙价格也不一样,这样镶牙多少钱一颗则有差别。但是影响镶牙多少钱一颗的因素主要有以下几个方面。

1、 患者牙齿缺损数量
在拔牙前牙科医师会对患者口腔进行全面的检查,对不利拔牙的因素进行排查,而如果患有等情况,而应进行相应的治疗,而口腔的个体差异,造成了拔牙前费用的不同;
2、患牙所处的位置及病变程度
患牙所处的位置及病变程度导致了患牙的拔除难易不同,因此也导致了拔牙镶牙费用的不同;
3、不同的牙科机构,收费标准也有一定的差异
特别提醒:为你的口腔健康负责,拔牙请选择正规的牙科机构进行,其设备、消毒等各方面均比较到位,同时收费标准均按国院标准进行收费,具有更高的透明性及规范性。
正规牙科医院>>>圣贝牙科
广州越秀圣贝口腔门诊部连锁牙科连锁!广州越秀圣贝口腔门诊部连锁牙科是一家以口腔的内外修复、正畸、牙美容、牙种植等业务为主的牙科连锁医疗机构,始于圣手仁心,其主品牌圣贝牙科经法兰西萌牙、普鲁士生根、化浪潮,成为的知名牙科连锁。领先的医疗、专业的医疗团队、先进的服务理念,致力于为特需患者提供满意的特需服务,并以建立科技先进、权威、服务人性化的连锁牙科连锁机构为目标,为社会做出贡献,得到广大消费者的一致好评。

广州越秀圣贝口腔门诊部连锁机构是一家连锁口腔专业机构。圣贝牙科不断引进连锁潮流领先的和设备,构建单病种特色,凝聚国内外牙科,用科技造福患者,以特色服务大众。
广州越秀圣贝口腔门诊部连锁牙科医院顾客价值观:一切以顾客为中心,尊重、理解、关怀、服务;专业、、便捷、权威;尊贵、体面友情、爱心、开心、温馨、确切、服务优良、信誉卓着为服务的目标。
上一篇:广州拔牙哪里好 无痛拔牙低价优惠活动
下一篇:洗牙对牙齿好不好 洗牙去哪里好?