!-->

窝沟封闭是指不损伤牙体组织,将窝沟封闭材料涂布于牙冠咬合面、颊舌面的窝沟点隙,当它流入并渗透窝沟后固化变硬,形成一层保护性的屏障,覆盖在窝沟上,能够阻止致龋菌及酸性代谢产物对牙体的侵蚀,以达到预防窝沟龋的方法。窝沟封闭是一种、的方法,该在连锁上已有50多年的使用历史。
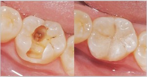
广州越秀圣贝口腔门诊部口腔指出,窝沟封闭是预防窝沟龋的有效方法,使用树脂型窝沟封闭剂能够有效降低恒磨牙龋齿发病率。窝沟封闭的防龋效果与封闭剂的保留率直接相关,因此操作必须严格、规范。下面就为大家简单介绍一下。

窝沟封闭剂的适应证:
①窝沟封闭的牙齿选择:牙面有患龋倾向的深窝沟和已患有初龋或可疑龋的窝沟;龋齿是怎么回事?
②年龄要求:乳磨牙的封闭以3-4岁为宜,恒磨牙的封闭以6-7岁为宜,前磨牙和第二恒磨牙以12-13岁为宜,牙齿完全萌出后,越早涂布效果越好。
目前广泛应用的窝沟封闭剂主要有两种类型
自凝固化型(涂布后,在1-2分钟内,经催化剂的作用,材料聚会固化)。
可见光固化型(通过一定波长的光照射 30秒,即可固化)。
两者的防龋效果差别不大。影响防龋效果的因素,主要取决于窝为封闭剂的保留率,保留率越高,则防龋效果就越好;而影响窝沟封闭剂保留 率的高低,主要看操作过程中,每一步骤是否都达到要求。特别是清洁牙面,酸蚀牙齿后的冲洗、干燥,一定要防止处理后的牙面被唾液再污染是重要的关键,此时要求病员张着嘴巴,舌头不动,不让唾液再污染处理好的牙面,再加上医务人员的精心操作,就可获得成功。
窝沟封闭的方法很简单,通过清洁牙齿、酸蚀、冲洗干燥、涂布封闭剂和固化几个步骤即可完成。但需要强调的是窝沟封闭需有专业人员进行操作,需要必要的仪器设备。

圣贝潜心为您打造健康口腔
圣贝连锁牙科连锁医疗机构连锁团队是来自德、法、英、美、韩等世界各国及地区经验丰富的学者,他们应用连锁先进的医疗与圣贝引进的设备实现了完美的无缝对接,为中国牙科顾客带来了较佳的治疗方案。同时,也带动中国大陆牙科革新,促进了国内口腔学科与连锁接轨。尤其是在种植适应症把握、植入、即拔即种、即刻修复的舒适、美观、牢固等方面,获得了中国顾客和同行的崇拜与追随。
圣贝连锁牙科连锁医疗机构在诊疗过程率先采用可调节电子镇痛仪,通过实现对末梢神经疼痛传导的阻碍,进行局麻下的治疗;笑气通过吸入麻醉实现全身心的放松,大限度地避免疼痛的恐惧,破解了业界及顾客困扰的难题。圣贝连锁牙科连锁医疗机构全面践行连锁医疗无菌操作理念,在行业内率先实现“一人一诊室一治疗室一医一助一机一用一消毒”8个一无菌诊疗模式,全程无忧,使看牙疼痛从此成为历史,快乐看牙变为现实,真正实现看牙后冷热酸甜,想吃就吃,让您再次享受充满美食快乐的品质生活。