!-->

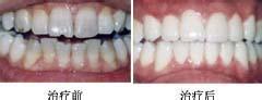
牙黑,对于大家来说无疑是巨大的打击,一口黑牙展现在人们面前甚至会让人望而生俱,看着一口黑牙产生厌恶感,这让黑牙人群自信受到严重打击,生活受到阻碍,那么,牙齿黑怎么办?广州越秀圣贝口腔门诊部 口腔医院的介绍,牙黑又多种原因造成,要根据牙齿的黑黄程度进行牙齿美白修复。

牙齿黑一般是由以下几个因素造成的:
一健康因素:牙齿在发育过程中由于营养不好或生过病,会使牙齿的钙化受到影响,牙齿会黄而松脆。牙齿美白对黑牙有用吗?
二水质的因素:有些地区,特别是有些山区,由于水中含氟量高,,过多的饮用氟牙齿会发黄,而且不是1-2个牙齿,是满口大黄牙。氟有防龋的作用,所以这些人反而不易生龋齿(蛀牙)。
三物因素:现在大都数人都知道了四环素类物可导致黄牙的发生,牙齿黑怎么办?牙齿黑应该及早治疗,特别是在儿童(5岁前)服用影响更大。
四卫生习惯:有些人不注意口腔卫生,没有早晚刷牙习惯,牙齿的表面堆积一层食物残渣,软垢、牙石、烟渍、茶渍等。这些“黄牙”不是牙齿本身发黄,是不注意口腔卫生造成的,这种黄牙也是好处理的。

牙齿黑怎么办?
1、洁牙,对于牙齿黑黄程度不严重的情况,可以通过洁牙来修复黑牙,尤其是年龄较小的,牙齿还在生长阶段,选择洁牙比较适合。
2、牙齿漂白,牙齿漂白治疗是一种不必磨除自然牙齿而使牙齿改变颜色的治疗方法,牙齿漂白又分冷光美白和激光美白,相对来说,激光美白是牙齿美容冷光美白的升级。目前普遍使用的美白方法还是漂白,它适用的人群和范围比较广,18岁以上的人都可适用。
3、修复治疗,对于牙齿黑黄程度严重的情况,可以通过针对牙齿治疗要磨除一部分自然牙齿后,用人造材料覆盖在相应部位,其优点是牙色的改变明显,缺点是要必须磨除自然牙齿。
4、美牙冠修复,美容冠牙齿美容在流行于欧美、日韩的一种新兴牙齿美容,在传统烤瓷牙的基础上, 调牙齿的美容效果,对色素呀、错位牙、畸形牙的临床冠部分施以专业手段,后用美牙冠加以修 复。具有美牙不拔牙,时间短,牙齿坚固,多年后牙龈不会出现黑线等优点,从而达到终 生有保障的美牙效果。
广州越秀圣贝口腔门诊部口腔还指出:每个人都是社会上独立的个体,各自的牙齿情况都不尽相同,所以在做美白修复的时候价格就理所当然会不同。比如说用美容冠来美白牙齿和用美容冠来矫正牙列不齐,二者之间的价格肯定有差异。所以求美者要有一个正确的认识,不要看都是在做美容冠单一地来比较价格。各自的情况不同,目的不同,价格不同也是正常的。总的来说是难度越大,价格就越贵。

广州越秀圣贝口腔门诊部口腔美容冠4大优势:
1、时间短:全程需要2次左右的治疗,需等待7天,即可完成。
2、不伤原牙:美容冠在不损伤牙齿、牙龈的前提下根据牙槽骨的形态对牙齿做修整,仅对不整齐的凸出部位进行精细打磨,无需拨牙。
3、自然持久:VITA比色,以26阶牙色层次化类比,为你调配适合牙色,更采用三维数字成型,使之呈现持久天然光泽。
4、坚固耐磨,持久美齿:良反应小,无以往存在的牙龈红肿、黑线等现象。