!-->

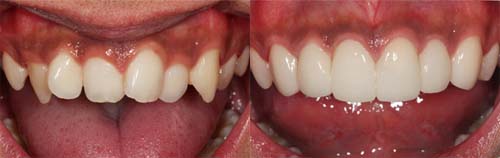
身为一名人民教师的唐小姐工作稳定,学生听话,家庭和睦,但她不爱笑。因为她有一副拥挤的牙齿。拥挤的牙齿不仅给她带来了极大的不自信,而且平时刷牙也很难清洁干净,影响上下颌牙齿间的咬合。但唐小姐听说成年人牙齿定了型后就不能矫正了,因此她在网上预约了广州越秀圣贝口腔门诊部口腔牙齿矫正。

【解读】
一般而言,正畸治疗的较佳时间是10-15岁,对于已经成年的人,牙齿再不好看,似乎也只能怪自己年龄太大了,没有在合适的时候遇到好的。其实随着科学的飞速发展,成人正畸治疗已成为成熟的治疗方式,且成人通过正畸治疗来改善颜面美观,已经成为一种常态。对希望牙齿美容、改善牙列不齐等的成年人而言越早接受正畸,效果越理想。牙齿正畸一般需要多少钱?
【美容冠】
圣贝牙科是修复美容系统的先行者,拥有20余年的使用经验,其独有的二氧化皓不但能胜任前牙的高标准美容需求,也能达到后牙咀嚼磨压所必须的高强度,实现了立等可戴,更可以制作成精密附着体。整个义齿修复从诊断、备牙,到制作、戴牙在同一个区域内进行,将整个修复过程从耗时一周缩短到1小时。

广州越秀圣贝口腔门诊部口腔指出:美容冠是在传统烤瓷牙的基础上强调牙齿的美容效果,针对成人错位牙、畸形牙的临床冠部分施以专业手段,后用美容冠加以修复。具有美牙不拔牙,苦,时间短,牙齿坚固,多年后牙龈不会出现黑线等优点,从而达到终生有保障的美牙效果。
广州越秀圣贝口腔门诊部口腔通过了JCI认证,致力于为患者打造会所式流畅、高效、的医疗服务。实行预约式服务,保证患者就医效率;创建患者资料交接卡,保证从预约到就诊结束各个环节完美衔接;独立备案患者病例,用心做好后期服务。对每一位患者,每一台手术都严格执行“三无”,全力打造“金质”医疗标准。