!-->

压力不仅在学校中,出了社会的压力更大,面临着结婚、生子、养老、升职等问题。因此白领工作压力越来越大,茶,咖啡,烟在白领的生活中越来越普及,久而久之,牙齿慢慢变黄,洁白的牙齿慢慢的离白领远去,牙齿美白成了众多白领的又一项追求。
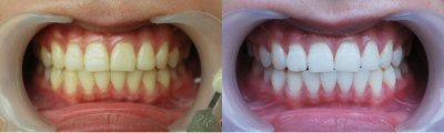
小熙,众多白领中的一员,可以说基本上每天茶、咖啡不离手,渐渐的牙齿越来越黄,笑容随着越来越少,不过现在小熙没有牙齿困扰了。

口腔表示,现在白领成为黄牙的主要对象,然而年轻的白领对自己的形象又是一般的在意,所以都是要进行牙齿美白的。白领牙齿变色的主要原因是自身习惯不好,因此美白牙齿后,注意养护口腔的话,情况是会有所改变的。美白牙齿要多少钱?
美白方法——炫彩美白
广州越秀圣贝口腔门诊部引进的炫彩美白系统,是目前连锁上先进的牙美白之一,它采用低温蓝光,隔出一切有害的紫外线与红外线,完全避免了操作过程中的不适与刺激、对周围组织的副作用。一次性30分钟至45分钟的治疗,可使牙齿平均提高5—14个VITA色阶,并使治疗后的牙齿具有自然的光泽。
炫彩美白已经经过150多个及地区的牙医对超过200万患者的治疗验证,已成为有效、的牙齿美白系统。

日常牙齿美白
◎减少喝茶,喝咖啡和抽烟的频率,这个还是挺重要的,不然的话一边毁牙一边美白牙齿,那么到头来还是没有半点作用。
◎保持口腔和牙齿的清洁,每天都要刷牙和漱口。
◎每隔一段时间去洗一次牙齿。
以上是小熙的牙齿美白之路,你也有小熙一样的困扰吗?那就点击详细了解一下。