!-->

广州越秀圣贝口腔门诊部种植牙好不好?表示,选择种植牙的同时选择种植牙医院也是很重要的,广州越秀圣贝口腔门诊部好不好?下面让我们看一看选择广州越秀圣贝口腔门诊部种植牙的四大理由。

一、连锁种植牙系统:广州越秀圣贝口腔门诊部连锁牙科先后引进连锁种植牙系统:种植牙系统、Cerec5D齿雕系统、极束星全口CT、笑气治疗系统等先进种植牙和设备,全力保障种植与连锁接轨。种一颗种植牙价格是多少?
二、连锁团队:来自全世界拥有连锁资质的权威种植牙博士团,每年在种植种植牙万颗以上,成功修复让缺牙患者找回真牙幸福。
三、连锁标准操作:种植牙是按照连锁种植牙标准实现,并且运用16层进化消毒和8个一诊疗模式进行专业种植牙,可靠!达98.98%。
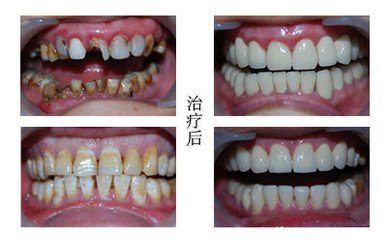
四、连锁种植牙品质:种植牙均系原装进口材料,依托连锁种植系统的前沿,可以根据每个人的口腔情况,量身定制专属于您的第三副牙齿,种植牙美观舒适、无异物感、经久耐用,保养得当可终身使用。

种植牙种植术
种植是目前连锁对口腔牙列缺损、牙列缺失修复的较佳之一。种植牙不伤邻牙、而且能更好的保护邻牙,持久耐用,世界上颗种植牙目前已经正常使用超过40年,目前,该种植在欧美、日韩等和地区广泛采用,成为人们缺牙修复的选择。种植牙被誉为乳牙、恒牙之后人类的"第三副牙齿"。