!-->

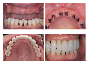
全口假牙是牙科临术上针对全牙缺失或牙齿缺失数量较多的口腔修复,它是由基托和人工牙两部分组成。那么全口假牙价格是多少?全口假牙价格包括全口义齿修复前的治疗费用及全口义齿本身的费用,由于每个人状况的不同,全口假牙价格也各不相同。

全牙的缺失给人们的正常工作、生活带来极大的影响,因此及时进行全口义齿的修复是一般关键的,它不仅可恢复人们的外在美观,而且可以降低口腔疾病的产生。那么全口假牙价格怎么样呢,全口假牙价格是多少?想必是很多缺牙人士所关心的问题。针对于此,下面由广州越秀圣贝口腔门诊部连锁牙科医院为大家讲解。活动义齿的注意事项
广州越秀圣贝口腔门诊部连锁牙科指出:全口假牙是牙科临术上针对全牙缺失或牙齿缺失数量较多的口腔修复,它是由基托和人工牙两部分组成,靠义齿基托与粘膜紧密贴合及边缘封闭产生的吸附力和大气压力固位,吸附在上下牙槽嵴上,以恢复患者的面部形态和功能。全口假牙在老人朋友中广为应用。

全口假牙修复价格是多少?
全口假牙价格包括全口义齿修复前的治疗费用及全口义齿本身的费用,对于全口假牙价格多少这个问题,广州越秀圣贝口腔门诊部连锁牙科指出:由于每个人状况的不同,全口假牙价格也各不相同,全口假牙价格受多个方面因素的影响。
牙科临术上,全口假牙价格没有一个硬性的规定,全口假牙价格根据患者口腔的具体情况、全口假牙修复材料以及牙科机构的选择有着一定的差别。在进行全口假牙修复前,牙科医师会对患者口腔进行全面的检查,对牙周牙龈的病变进行适当的修复,而如果口腔内有残根,则需要进行拔牙处理,而后牙科医师会结合患者年龄、经济等客观因素制定较佳全口假牙修复方案。

广州越秀圣贝口腔门诊部连锁牙科医院提醒:牙科临术上,用于全口假牙修复材料有很多种,不同种类的全口假牙其性能、美观度、使用寿命等方面有着极大的差别,因此选用不同的种类的全口假牙进行修复,全口假牙价格各不相同。由于不同区域,不同牙科机构间的消费水平及收费标准的不同,全口假牙价格的收费标准也不相同。