!-->

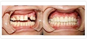
牙齿缺失被我们通俗的称为:牙齿掉了。牙齿掉了曾经让人们觉得很难接受,现在牙科医学的发达和种植牙的问世,已经逐渐改变了人们的思维和接受程度,现如今,人们对牙齿健康问题也越来越重视了。单颗牙缺失种植牙修复是目前较佳的修复手段。从目前看来,种植牙的存在达到了无可匹敌的效果,因为种植牙是较佳的,的,也是接近于天然牙的选择。

广州越秀圣贝口腔门诊部连锁牙科连锁表示:“种植牙,是目前世界上好的牙齿缺失修复方法之一,被誉为人类的第三副真牙。如果在以前,牙齿缺失后只能佩戴假牙,影响美观,使用效果还不佳,并且还会导致口腔其他的疾病。但随着牙科的进步,特别是种植引进后,颠覆了之前牙齿缺失只能通过镶牙和烤瓷修复的局面,种牙开始进入寻常百姓家。成人后牙缺失该怎么办?
种植系统
广州越秀圣贝口腔门诊部连锁牙科连锁机构引进的种植牙系统,源于种植牙发源地--,由具有50多年种植牙设备和研发历史的集团研发而成在世界种植历史上具有至高地位,被称为当今世界上为先进的种植之一。该可以在拔牙后立即植入人工牙根,电脑设计指导下完成手术,手术创口小,避免了漫长的恢复期,可谓兼具了传统义齿和种植牙双方的优点,种植时间,效果好,无需等待,不用担心任何不舒适、不牢固。

圣贝连锁牙科连锁机构
圣贝连锁牙科连锁医疗机构在中国大陆的自主品牌源自圣手仁心,是根据中国顾客需求和企业发展目标,由连锁知名大师设计、按照五星级标准建设的牙科医疗会所,专注服务于大都会中的人群和精英阶层。圣贝牙科在医疗质量、服务质量、消毒工艺上均按连锁标准严格执行,所引进专业及设备如:种植系统、美颜正畸系统、亲贝牙美容系统等均通过连锁JCI认证,引领牙科浪潮。