!-->

随着年龄的增长,牙齿缺失成为许多老年人困扰的问题之一,特别是有些老年人牙齿全口缺失。这会给他们生活和心理造成严重的影响,如造成胃肠功能絮乱、面容塌陷、影响发音等。

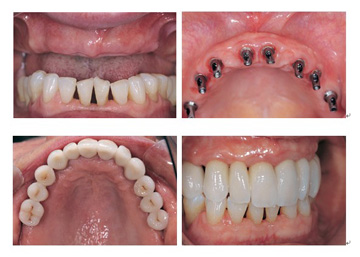
珠海的李太太今年才58岁,由于早年间牙齿龋坏没及时治疗,导致现在牙齿差不多掉完了,影响李太太的咀嚼功能,平时也不爱笑了。她的家人出于为她的健康考虑决定让她修复牙齿。全口种植牙的价格高不高?
他们到各个医院进行了就诊寻求较佳的修复方法,但因她本人不能接受烤瓷牙修复需要磨切缺失牙相邻的前后两颗健康牙,又不愿意忍受戴活动假牙每天戴上取下的麻烦,终选择做种植牙要修复缺失的牙齿。
经过广州越秀圣贝口腔门诊部种植牙检查,李老太太的牙齿适合做种植牙修复,几个月后,再次见到李老太太的时候,她开朗年轻了许多,她一般感谢圣贝牙科让她恢复了一口整齐好牙。
【种植牙解析】
广州越秀圣贝口腔门诊部种植牙种植牙是目前连锁对口腔牙列缺损、牙列缺失修复的较佳之一。它具有传统镶牙无可比拟的优势:品质坚硬、基台坚固、稳定性强,大限度恢复正常咀嚼功能;定位,高,治疗过程。种植牙不伤邻牙、而且能更好的保护邻牙,持久耐用,世界上颗种植牙目前已经正常使用超过40年。
随着人们对口腔美观的要求越来越高,越来越多的人选择种植牙来修复自己的口腔缺牙问题,种植牙达98.98%以上,达98%以上。

广州越秀圣贝口腔门诊部种植牙中心是国内领先的种植牙中心之一,特别是拥有种植、即刻种植与即刻修复。专业的种植手术室、的种植牙设备、舒适的就诊环境、严格的消毒流程,让您享受到舒适的诊疗服务。