!-->

前牙的缺失常常是因为意外事故或者猛烈撞击造成的,如果不及时修补不仅仅影响面部的美观,还会破坏整个牙列的完整性,导致相邻的牙齿出现向缺失牙齿的部位移动倾斜。牙齿缺失患者会觉得在众人面前“难以启齿”,造成自卑心理。所以,牙齿缺失一定要及时修补,以免造成更大的危害。那么前牙缺失怎么办?

【牙齿缺失修复方式大比拼】
1、活动义齿:它由卡环(俗称“钢丝钩”)、基托、人工牙、支托组成,其原理是通过卡环“钩住”剩余牙齿来稳定假牙,基托连接人工牙来修复缺失牙。卡环与基托是多出来的附加结构,影响美观、发音,会有异物感,另外,整个假牙每天必须取下清洁刷洗几次,否则食物会进入假牙与牙龈之间,或粘附于假牙表面上,引发口腔疾病,甚至产生口腔异味。门牙掉了镶什么牙好?
2、固定义齿:牙科称之为“固定桥”,人们多称其为“烤瓷牙”,其原理其实很简单,类似于“搭桥”。具体做法是把缺失牙两边的健康牙磨小,变成“桥墩”,然后做牙套套住两边磨小的牙齿,来架住缺失的牙齿(又称桥体),这种方法无需每天取下来清洁,咀嚼功能较强,但有一个致命弱点,即为了修复缺失牙,需要磨削两边的健康牙齿,未镶缺牙而先损好牙,实在可惜。
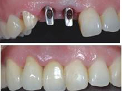
3、种植牙:人们称之为“种植牙”,其原理是在缺失牙的部位将纯钛的种植体植入牙床内。3个月后,种植体通过表面的生物活性涂层与周围骨质发生骨融合,然后在种植体上安装牙冠或牙桥,其结构与感觉类似于天然牙齿,无需取戴,咀嚼功能强,既克服了活动义齿的不美观、不舒适、每天需清洗的缺点,又不需要磨削缺牙部位相邻的健康牙。目前这种镶牙法,成为人们修复缺失牙的方法。
【牙缺失修复方式优劣对比图】

通过对牙齿缺失修复方式的介绍,相信大家对种植牙有一定的认识,种植牙作为目前理想的牙齿修复方式,一直受到大家的关注。广州越秀圣贝口腔门诊部采用的种植术,以成为修复10000例牙缺失患者,运用广泛,适用于牙齿缺损、牙列缺损、全口无牙。品 质坚硬,基台坚固,稳定性强,大限度恢复正常咀嚼功能,咬合力达到正常牙的98.98%;生物相容性极好,口感良好,无任何异物感,临床适应症高于 98.98%,不良反应低于0.02%;美学效果良好,大限度还原真牙形态;定位准确,无其他损伤,种植体直接嵌入牙槽骨,不损伤相邻牙齿; 有效防止牙齿缺失后牙槽骨继续萎缩。