!-->

患者预约:前段时间骑自行车时摔倒地上磕掉了半颗门牙,我想请问一下半颗门牙缺失了该如何修复?

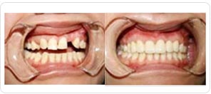
广州越秀圣贝口腔门诊部口腔介绍,一般来说,根据门牙摔伤的程度不同,处理的方法也不相同。前牙缺失怎么办?
1、若仅仅是牙冠折断,且未露牙髓,仅需一般的补牙即可恢复牙齿或者选择烤瓷牙进行修复。
2、若牙髓露出,但牙根还在,则需要先做牙髓治疗,将受损的牙髓去除,然后进行填补,再在此基础上做烤瓷牙、全瓷牙。
3、若牙冠完全折断,且牙根受损,这也是断裂的情况中为严重的一种,此时则需要确定牙根是否能够保留,若牙根没有保留的余地,则可采用种植牙的方式进行修复。

【种植系统优势】
广州越秀圣贝口腔门诊部引进的即刻种植系统,可轻松解决各种牙齿缺失问题,在较短时间内"种"出美牙,让患牙即刻获得新生。该有以下七大优势:
1小时完成——从准备到成功植入,只需一小时,即可完成一颗牙齿的种植。
美学标准——进口材料,外观逼真,几近天然牙。
护理简单——与传统假牙比,省去牙齿护理的诸多麻烦。
舒适——种植体独特的螺纹凹槽,让骨整合快速、稳定。
个性设计——激光定位,数字智能化操作系统,创伤小、,且效果可预知。
结构独特——个性化手术模板,可以调整种植体形状,满足患者需求。
微痛治疗——种植手术,手术过程、快速、术后即可进食物。

【全国联保 终身维护】
广州越秀圣贝口腔门诊部郑重承诺:作为知名连锁牙科连锁机构,圣贝的每一颗种植体均系原装进口,全部严格通过ohsas18000连锁健康认证以及ISO9000连锁质量认证,种植体享受5年全国质保(5年内出现非人为原因损坏及质量问题均可免费维护和更换),并终身提供维护服务。