!-->

什么是即刻种植牙?即刻种植牙采用,3-4毫米微小切口,减少了肿痛和出血量,缩短了种植牙时间,种植位置更准确,种植更高,帮助了无数害怕疼痛的缺失牙患者,轻松拥有一口好牙。

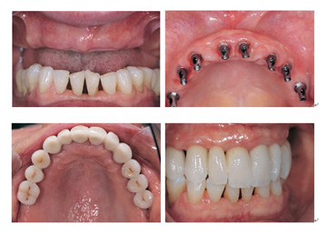
即刻种植牙是广州越秀圣贝口腔门诊部连锁牙科连锁机构引进和研发,采用,3-4毫米微小切口,减少了肿痛和出血量,缩短了种植牙时间,种植位置更准确,种植更高,帮助了无数害怕疼痛的缺失牙患者,轻松拥有一口好牙。 蒙特勒种植牙拥有独创的台阶形种植体,在保证牙根独立稳定性的同时,其逐渐缩窄的种植体根部还可以大限度地适应拔牙后牙槽窝的形态,避免造成邻近牙根部损伤,从而保证两侧牙齿健康。 此外,由于人工牙根拥有良好的生物相容性及骨结合能力,并且深植于颌骨内,与颌骨内的骨细胞相结合,达致极好的固位力,因此种植牙能像正常牙齿一样承受咀嚼力量,承担与自然牙一样的功能和美观效果。广州种植牙的价格是多少?
即刻种植牙优势
1、稳固牢靠:种植体与牙槽骨通过骨结合连接在一起,十分坚固,不亚于人的天然牙根,可象真牙一样扎根在患者的口腔里。
2、不损伤邻牙:烤瓷桥是牙齿缺失的传统修复方法,但需要将缺牙处两侧的健康牙磨小,十分可惜;而种植牙是在缺牙处的牙槽骨内植入种植体,以此为基础修复缺失牙,不涉及邻牙,更不会损伤邻牙。
3、原理更科学:天然牙将口腔内的咀嚼压力通过牙根传递至牙槽骨,而种植牙将咀嚼压力通过人工牙根传递至牙槽骨,生物力学原理相同,故能承受强大的力量,咀嚼效率较传统假牙有大幅度提高。而传统的烤瓷桥是通过固位体粘贴固定于缺牙间隙两侧被磨小的天然牙上,并利用天然牙作支撑和传递咀嚼压力,加重天然牙负担且影响其使用年限。

4、小巧舒适:体积小,无基托与卡环等结构,口腔内无异物感,有利于保持口腔卫生,感觉舒适,使你忘掉假牙的存在。
5、适应症更广:在全口均无牙齿或磨牙区后部全部缺失的情况下,以往只能装活动假牙,但活动假牙在美观、舒适、咀嚼功能、自洁能力等各方面均不尽如人意,而通过人工牙根的植入就可以使这些患者获得固定义齿修复。
广州越秀圣贝口腔门诊部运用的笑气种植,让患者在的情况下完成种牙手术,过程、、高效。笑气治疗配合种植,为治果提供了可靠的保障。种植是目前连锁对口腔牙列缺损、牙列缺失修复的较佳之一。该是通过术前对患者牙槽骨进行数字化的影像扫描定位,并根据相关数据制作定位导向,而后"人工牙根"顺着定位导向植入牙槽骨,当"人工牙根"与牙槽骨生物相容稳固后即可进行镶牙。