!-->

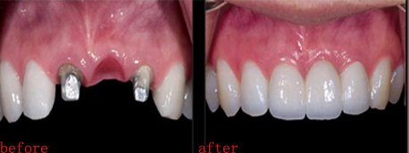
即刻种植牙好吗?牙齿缺失就要及时修复,才不会危及别的的牙齿,现在很多人都知道这个道理,但是有些人在修复牙齿的时候,也会很纠结到底要选哪种牙齿好呢?即刻种植牙是现在比较流行的一种,下面让广州越秀圣贝口腔门诊部牙科给我们讲讲即刻种植牙。

圣贝牙科连锁机构(广州)“即刻种植牙”是在局麻下进行,在牙龈上切一小口(比拔牙创伤小,仅数毫米)用特殊设备在牙槽骨上挤出一个小坑(通道)将牙根(每个人的长短不一样)埋入。不需要打磨旁边的真牙,即拔即种不会引起牙槽骨吸收,无需骨粉或软骨植入,就可获得理想的种植效果。种植义齿减少甚至免除基托,体积小,固位效果好,咀嚼效率接近真牙的程度,美观。由于种植义齿功能恢复好,有继人类乳牙列,恒牙列之后的第三副牙列之称。【阅读:广州做种植牙寿命是多久?】

广州越秀圣贝口腔门诊部“即刻种植牙”优势:
1.精准稳固:有利于保持牙龈形态,获得理想的种植效果,种植更精准、更稳固,使用时长高可达50年;
2.无痛种植:拔出患牙,即刻植入种植体,种植过程无明显疼痛,术后几乎无疼痛和肿胀。
3.美齿立现:种植过程短,30分钟左右即可完成种植,种植体一经植入,稳固结合骨质,再美丽牙齿立刻显现。

圣贝种植系统 一小时完成种植 即刻恢复咀嚼
目前先进的种植之一。耐用持久,世界上颗种植牙已正常使用40年。运用广泛,适用于牙齿缺损、牙列缺损、全口无牙。品 质坚硬,基台坚固,稳定性强,大限度恢复正常咀嚼功能,咬合力达到正常牙的98.98%;生物相容性极好,口感良好,无任何异物感,临床适应症高于 98.98%,不良反应低于0.02%;美学效果良好,大限度还原真牙形态;定位准确,无其他损伤,种植体直接嵌入牙槽骨,不损伤相邻牙齿; 有效防止牙齿缺失后牙槽骨继续萎缩。及时高效,结合圣贝牙科的皓易牙美容修复,完全符合连锁单冠修复理念。