!-->

种植牙是目前好的修复牙齿缺失的,很多人通过电话或网络预约广州越秀圣贝口腔门诊部的种植牙多少钱,那么今天我们就请为我们讲解一下广州种植牙一般多少钱吧!

广州种植牙一般多少钱?
广州越秀圣贝口腔门诊部介绍,种植牙的价格是不确定的,并没有确切的标准,价格往往受到一些因素的影响,具体有以下两方面:广州种植牙哪里好?
1、品牌。现在的社会什么都要看品牌,品牌不同,种植牙价格也就不同。
2、个人情况。每个患者的情况不同,选做种植牙方案不同,因此种植牙价格也就不同。
3、医院。医院所具有的环境、服务、牙科及医疗设备等条件不同,做出来的种植牙效果肯定不同,其价格也就不同。
很多患者以为烤瓷牙便宜,但从副作用、使用年限及用者体验来考虑,烤瓷牙价格并不便宜。

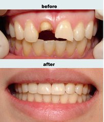
广州越秀圣贝口腔门诊部种植系统
广州越秀圣贝口腔门诊部采用的种植,将与人体生理相容性极高的种植体(人工牙根)种植到牙槽骨内,并与之产生骨结合,具有很强的固位性和稳定性,手术简单,愈合时间短,使用寿命长,更具高效咀嚼功能,外形可与自然牙相媲美,且光泽度比自然牙更胜一筹,因此,被誉为是“人类的第三副牙齿”也是连锁口腔医学界的牙齿缺失修复方式。