!-->

前一段时间央视有一个关于“你幸福吗”的访问节目,节目中出现了很多老太太和老大爷,每个人对幸福的定义都不同。曾经有人讲过:真正的幸福晚年是不能描写的,它只能够自己体会,感受越深也就越难描写,因为真正的幸福不是故事的汇集,而是一种生活的状态。然而,很少人能够观察到母亲心中深的痛楚,那就是她想拥有一口完整健康的牙齿。

没有牙齿,何来幸福
小林出生在70年代初,那个时候大家的生活都很艰难,很多人都是吃着红薯粥长大,等到小林出生,那个时候的日子才会好过一点点,也是一年难得吃得上几次肉,而没有吃肉的时候,母亲也是把肉挑给小林,每次都是和小林讲她不爱吃肉……种植牙多少钱一颗?
美学种植牙“种”下晚年健康
时间总是很快,小林大学毕业分配工作了,家里的条件也是慢慢的变好,肉类食物也是想吃就吃了,而这时小林的母亲却又是看着肉难过。一次小林休假回家,买了很多东西回家,可是小林母亲牙齿已经脱落的差不多了,常常是看着食物缺失吃不了、咬不动。小林着急了,看着母亲想吃的东西却吃不了,便在网上搜索治疗的方法,偶尔看到一种“种”上去的牙齿—种植牙,效果还不错,酷似真牙。
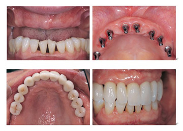
小林觉的这个不错,习惯性的在网上找到了广州越秀圣贝口腔门诊部美学种植牙,在比较对比后,小林决定带上母亲去广州越秀圣贝口腔门诊部,广州越秀圣贝口腔门诊部种植牙权威小林母亲的检查结果是小林的母亲适合做种植牙,小林也立即同意给母亲种牙,当一颗颗牙齿种进口腔的那一刻,小林的母亲端着镜子的手开始发抖:“我都快六十岁了,没想到还能再种上一口‘新牙’!”重拾希望的母亲一下子年轻了10岁,小林也打心底里地为母亲高兴。

据了解,广州越秀圣贝口腔门诊部连锁种植牙这次为小林母亲选择的种植牙美学修复,采用连锁领先的“美学即刻种植”,准确、、、舒适。通过在患者缺失牙齿的牙槽骨中植入纯钛的人工牙根,并以此为基础镶上烤瓷牙冠,一颗牙齿就种植完成,它可以像真牙一样扎根在患者的口腔里,而且很好地恢复患者的咀嚼功能,还可以防止缺牙牙床的畏缩变形,同时治疗过程不会伤害相邻的健康牙齿。此外,整个种植过程、快速精准,有效减轻患者痛苦,稳固、美观、舒适、自然如同真牙,被誉为是继乳牙、恒牙之后“人类的第三副真牙”。