!-->

种植牙被称为人类的“第三颗牙齿”,使牙齿缺失患者能重新拥有整齐完美的牙齿,是目前治疗牙齿缺失的有效方法。那么,广州即刻种植牙多少钱呢?广州越秀圣贝口腔门诊部为您做具体解答。

一、广州做即刻种植牙的价格
广州越秀圣贝口腔门诊部介绍到,广州做种植牙的价格是没有准确的一个数值,价格会受到很多的其他一些因素的影响。影响广州种植牙价格的因素有以下几个方面:种植牙有哪些优点?
1、牙齿的具体情况。牙齿如果缺失较少,需要种植的颗数少,而且牙齿的口腔比较健康,没有其它的牙齿疾病,那么,在做种植牙时,所需要的价格会低一些;如果需要种植多颗牙齿,并且牙齿健康状况不是很好,有着其他的牙齿问题,那么,在做种植牙时,价格可能会高一些。
2、选择的医院的实力。不同的牙齿医院在种植牙的、设备方面都会不相同。并且在的水平方面也会各有差别。专业先进的牙齿医院在设备方面有着优势,且的水平较高,所以在价格方面往往会高一些。
3、所在地区的经济水平。不同地区的经济发展水平是不同的,这也会对种植牙的价格产生一定的影响。经济发达的地区在价格方面可能会比经济不发达地区的价格高一些。

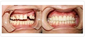
二、圣贝即刻种植
相对于传统假牙易松动、不易清洁、影响美观的不足,广州越秀圣贝口腔门诊部引进了即刻种植,克服了传统假牙的缺点。
即刻种植具有美观实用,简单,稳固牢靠,方便快捷,时间短的优势。50年来成为种植系统的业界领袖和行业标准,高达98.98%,种上的牙齿如同新长出的真牙,能真实感知冷、热、酸、甜、香、辣,成为JCI连锁医疗机构认证的行业典范。
三、广州越秀圣贝口腔门诊部坚持公正合理的收费制度
广州越秀圣贝口腔门诊部严格按卫生部及物价部门标准统一收费,公开透明的收费制度,让患者明明白白看病。
另外,圣贝牙科还加强医德教育,患者如果有任何的消费盲点,都可以直接预约、窗口收费人员等,真正做到收费有据可循,杜绝糊涂账。
温馨提醒:做种植牙的价格是不固定的,会受到许多的因素的影响。做种植牙时,一定要选择专业正规的牙齿医院。广州越秀圣贝口腔门诊部是你较佳的选择。