!-->

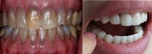
【网友预约】:你好!我今年23岁了,刚刚大学毕业,由于牙齿天生泛黄还比较黑,多次面试均告失败,我尝试了很多民间方法都不管用,难看的黄黑牙给人一种很不好的印象,好像还有口气,因此我想要请问,我的黄黑难看牙什么治疗才能恢复洁白呢?

【圣贝牙科】:您好!黄黑牙是一种很常见的色素牙,根据你的情况陈述,还需要就行口腔的检查才能更好的美白你的牙齿,你的牙齿屡次美白都不能奏效,因此大部分可以确定你的色素牙是中等以上的,因此建议选择炫彩美白,不仅能全面恢复你的牙齿美白光彩,还能清除你的口气问题。炫彩美白需要多长时间?
美白黄黑牙——炫彩美白系统
30—45分钟 提升色阶美白无痕
圣贝连锁牙科连锁医疗机构引进的炫彩美白系统,是目前连锁上先进的牙美白之一,它运用了光谱原理,采用低温蓝光,隔出一切有害的紫外线与红外线,完全避免了操作过程中的不适与刺激、对周围组织的副作用。一次性30分钟至45分钟的治疗,可使牙齿平均提高5—14个VITA色阶,并使治疗后的牙齿具有自然的光泽。
炫彩美白系统适用于一般外因性色素牙(咖啡、茶渍、烟渍沉积)、中轻度四环素牙、氟斑牙、物性变色牙、遗传性黄牙等。美白效果更明显,护理得当有效可达数年。

【炫彩美白优势】
无损牙齿牙龈:炫彩美白前的洗牙、牙面抛光和护龈意外已经为牙齿牙龈做好了防御工作,不但会对其造成损失,还有清洁保护作用,延长牙齿使用寿命。
完成时间短:炫彩美白全过程仅需30分钟至40分钟完成,方便快捷,不影响正常工作和生活。
无刺激疼痛感:炫彩美白过程不会产生热量,所使用的亲水起性材料有脱敏成份,所以无刺激性和疼痛感,让您在轻松舒适的过程中完成牙齿健康与美白的蜕变。
有效时期长:炫彩美白一般情况下护理得当可维持数年的美白效果,不会造成任何的交叉感染或者后遗症。

圣贝牙科始创8个1无菌诊疗模式
圣贝连锁牙科连锁医疗机构全面践行连锁医疗无菌操作理念,在行业内率先实现“一人一诊室一治疗室一医一助一机一用一消毒”8个一无菌诊疗模式,有效地杜绝了肺结核、肝炎、等各种传染性疾病的交叉感染。
圣贝连锁牙科连锁医疗机构在同行率先将灭菌消毒提升至16层,杜绝了因机器污染引发的感染,为顾客筑起了一道的屏障。