!-->

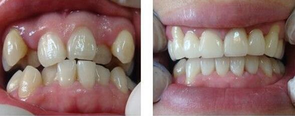
父母亲都希望自己的孩子漂漂亮亮的,一旦发现自己的宝宝有 “地包天”(前牙反颌)或“开唇露齿”(上颌前突,上前牙向唇侧倾斜并突出口外),等严重的错合畸形,免不了着急和遗憾。近在网上预约矫正牙齿反颌的顾客有很多,为什么如今这个社会儿童牙齿反颌的人数会增长的如此之快呢?儿童牙齿反颌该怎么办,有办法治疗吗?

形成牙齿反颌的3个原因:
1、遗传因素引起,如果父母中有人是反颌,宝宝就有遗传的可能,这种可能性占1/3;广州矫正牙齿反颌需要多少钱?
2、喂养方式不当,婴幼儿乳牙反颌的家庭因素是家长喂奶姿势不正确,家长在喂奶时,奶瓶如拿得太高,幼儿就必须把下颌外伸才能喝到奶,久而久之,下颌就会较上颌更突出,形成反颌;
3、养育方式不当,如让宝宝养成经常吮手指、咬嘴唇、咬物、吐舌、下颌前伸等不良习惯以及奶嘴使用时间过长。
口腔说,儿童牙齿反颌的矫正其实是需要根据不同的时期来确定的,或许很多父母并不了解。下面就这个问题来做一个简单的介绍。

1、乳牙牙合期。此阶段的较佳矫治年龄为四岁左右,此时患儿的恒牙还没有萌出,乳牙的牙根没有吸收,可以通过戴用口腔内的活动矫治器进行矫治,疗程约六个月左右。这阶段的早期治疗对患儿颌面部的正常生长发育是大有益处的。
2、替牙牙合期。患儿上下各四个前牙替换后在约八、九岁时就可以继续进行矫治了。根据患儿畸形的严重程度可以从轻至重分别采用活动、固定矫治器,甚至配合口外整形力来纠正牙齿,如果治疗及时,对于患儿面型的改善及生长发育很有帮助。
3、恒牙牙合期。儿童全部乳牙替换完约在十二岁左右,正处于生长发育高峰期,此时可对仍然地包天的儿童继续进行矫治。由于儿童下颌的生长与身高的增长基本上同步进行,所以地包天矫治完成后仍需观察至儿童生长发育高峰期结束。

广州越秀圣贝口腔门诊部连锁牙科连锁医疗机构:美颜正畸系统
孩子都是要漂亮的。隐形矫正不仅美观,更是方便。广州越秀圣贝口腔门诊部连锁牙科连锁医疗机构引进的美颜正畸,在不磨牙,不戴冠的情况下,将韩国微整形美容(颌面外科手术)与数控隐形矫正(牙齿矫正)相结合,在实现健康矫正的同时,利用矫正牙齿过程中的骨移动原理,重新改造面部形态的骨骼群,终实现面部“整形”。

传统的正畸是在牙齿上安装“自锁陶槽”,对正畸患者有着年龄限制、复诊时间长,并且影响美观,隐形矫治成本高昂,并且跨越的时间也较长。随着美颜正畸系统的问世,因为具有隐蔽、美观、便捷等优势,一出现就迅速风靡连锁,为那些想要整牙却又对“钢丝圈”有抵触心理的人,提供了制作精准、快速,取像、设计、研磨、安装试戴一次1小时内完成。仿生牙釉质,不伤对牙,耐用强度高,颜色自然,效果逼真,9-12个月隐形中矫正牙齿,轻松解决你牙齿畸形的问题。