!-->

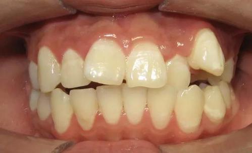
我们日常说话,咀嚼食物都是靠我们的牙齿。但是门牙外凸是很多人都遇到过的问题,门牙外凸困扰着很多人牙齿往外凸是牙齿畸形直接的表现方式,门牙外凸不仅对口腔咀嚼功能有所影响,还十分影响个人的外在形象的美观,这让很多爱美人士十分苦恼。那么,门牙外凸该如何矫正呢?

门牙外凸怎么办?
广州越秀圣贝口腔门诊部连锁牙科连锁医疗机构的介绍说,广州牙齿外凸的形成原因主要包括遗传因素和环境因素。环境因素又包括先天因素和后天因素。先天因素是指胎儿在母亲子宫内生长发育过程中受到的各种影响。后天因素是指出生后在生长发育过程中受到的影响,比如呼吸和吞咽功能异常可能会影响牙齿和颌骨的发育。牙齿外凸是是比较常见的一种牙齿畸形,现代牙齿通常可以通过牙套正畸和美牙冠进行矫正。牙齿外突怎么办好?
广州越秀圣贝口腔门诊部连锁牙科连锁医疗机构引进的Cerec 5D是引领齿科百年的巨人SIrona公司新研制的新一代齿科修复、制作、美容系统,被誉为齿科中的“高铁”。去年同步首发进入中国,目前只有在广州、北京拥有为数不多的几台。广州越秀圣贝口腔门诊部此次引进属东南地区次引进。

权威:广州越秀圣贝口腔门诊部口腔
广州正畸矫正就是我们平常所看到的在口腔内部带牙套进行牙齿矫正,将矫正装置用粘结剂粘,固定在牙齿上,患者本人不能自行摘戴,由牙科的正畸矫正对牙套进行装拆和调整加力。通常矫正时间比较长,一般在2年左右。有时候还需要做拔牙处理。而广州越秀圣贝口腔门诊部连锁牙科连锁医疗机构采用的美颜正畸,在不磨牙,不戴冠的情况下,将韩国微整形美容(颌面外科手术)与数控隐形矫正(牙齿矫正)相结合,在实现健康矫正的同时,利用矫正牙齿过程中的骨移动原理,重新改造面部形态的骨骼群,终实现面部“整形”。

成人牙齿外凸通过Cerec 5D矫正是比较理想的,Cerec 5D牙齿美容是近年由欧美引入的新兴美齿,在传统烤瓷牙的基础上强调牙齿的美容效果,对龅牙、畸形牙的临床冠部分施以专业手段,后用美牙冠加以修复。针对成人,具有美牙不拔牙,苦,时间短,牙齿坚固,多年后牙龈不会出现黑线等优点,从而达到终生有保障的美牙效果。