!-->

广州牙齿拥挤怎么矫正?牙齿拥挤是牙齿畸形中常见的一种,由于牙齿拥挤从而导致牙齿排列不齐,对外观的影响很大,严重者可能会影响口唇的正常闭合,这样会带给生活和工作一般大的影响。牙齿拥挤怎么矫正?广州越秀圣贝口腔门诊部连锁牙科连锁医疗机构矫正具备世界顶端的矫正,让他们来讲讲牙齿拥挤应该怎么矫正。

牙齿拥挤是什么原因造成的?
牙齿拥挤是经常见到的一种牙齿问题,牙齿拥挤的原因主要是颌骨前部发育不足,或整个面颌骨都发育不足。在某些情况下,也可能颌骨发育正常而牙冠过大。乳牙过早脱落,恒牙前移,也是造成牙齿拥挤的重要原因。由于牙齿的自洁能力差,刷牙也不易刷净,牙缝中常有食物残渣,容易造成龋齿、牙周炎等疾患。成年人牙列拥挤怎么办?
牙齿拥挤有什么危害?
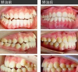
牙齿轻度拥挤的儿童,畸形一般不显着,严重的拥挤,唇部会出现不规则的畸形。牙齿在牙弓上互相重叠、拥挤,两侧不对称,中线偏向一侧,在人们的印象中常留下口歪唇斜的错觉。牙齿拥挤使切牙的切割能力减弱,咬合关系错乱,牙齿容易因碰撞而受伤。
儿童在换牙期常有牙齿拥挤现象,随着颌骨发育,可以自行调整、重新排列整齐。但拥挤严重、经过较长时间还不能自行调整过来的,应及时检查,以便尽快早点采取矫治措施。矫治牙齿拥挤有多种办法,如扩大牙弓、减少牙齿的数目及将磨牙向后方推移等。
提醒:由于牙齿拥挤不齐不易自洁而引发龋病及牙龈牙周炎症,可见局部牙龈红肿、出血、牙结石。牙齿拥挤不齐不光会影响我们的咀嚼功能,因此牙齿拥挤应该及时进行矫正。

牙齿拥挤怎么矫正?
牙齿拥挤是很多朋友遇到的问题,不要灰心丧气,圣贝矫正来帮您!选择广州越秀圣贝口腔门诊部连锁牙科连锁医疗机构,就是选择了一家连锁化的连锁牙科机构,无论上还是设备上都是领先于全国牙科医院。
广州越秀圣贝口腔门诊部连锁牙科连锁医疗机构拥有一个强大的口腔身团队,汇聚了欧美、亚洲等连锁着名的牙科,广州交大、华西、四医大等名校的口腔知名教授,为圣贝医疗质量提供了强有力的保障。在圣贝,连锁牙科与知名学者,国内与自神修复团队形成了良好的无缝对接,在口内、口外、修复、正畸、牙美容、牙种植等方面都颇有造诣。广州越秀圣贝口腔门诊部用先进的保障你矫正的效果,用舒适的环境让你治疗更舒心。