!-->

每个人都希望能够拥有一口洁白靓丽的牙齿,据了解冷光牙齿美白是一种、有效的美白牙齿的方法。那么,冷光美白牙齿效果能持续多久呢?
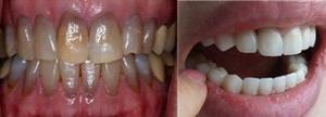
从我们哇哇落地,来到人间,我们的牙齿都是洁白无瑕的。牙齿经过许多年后,牙小管就会变色有物质沉积。虽然牙齿变白靠的是冷光美白氧化还原的原理,但生活中还会有色素沉积,因此,冷光美白不是一劳永逸。

那冷光美白牙齿效果能持续多久?
广州越秀圣贝口腔门诊部表示,理论上说冷光美白的效果一般能够保持两年左右。我们从2003年就开始做冷光美白,通过跟踪调查,有的人维持了两年左右,有的人至今仍然很好。看来,冷光美白牙齿效果能持续多久与个人的饮食习惯及牙齿结构不同而有所差别。冷光美白牙齿副作用
轻中度的四环素牙、氟斑牙采用冷光美白效果比较好,重度着色牙可以改善色泽。轻度色牙冷光美白一次即可,中度着色牙可在首次冷光美白后,一个月后,再进行第二次美白。讲述,以前没有接受过任何美白处理的牙齿,冷光美白的效果会更好、更持久一些。

【扩展阅读】冷光美白的原理在于通过冷光将物渗透到牙齿组织中去,从而达到美白的效果。属于化学漂白的一种,对于牙齿釉质的伤害极大,容易令牙本质失去必要保护而出现冷热过敏的痛苦。而随着医学的发展,更健康的美白已经问世,那就是炫彩美白。
广州越秀圣贝口腔门诊部引进的炫彩美白系统,是目前连锁上先进的牙美白之一,它运用了光谱原理,采用低温蓝光,隔出一切有害的紫外线与红外线,完全避免了操作过程中的不适与刺激、对周围组织的副作用。一次性30分钟至45分钟的治疗,可使牙齿平均提高5—14个VITA色阶,并使治疗后的牙齿具有自然的光泽。与冷光美白相比,炫彩美白有着无可超越的优势。

提醒,不论是选择哪种美白方法,但为了效果更佳持久,建议大家在美白后24小时内牙齿很容易再染上有色物质,因此,做完冷光美白后不能饮用茶、咖啡、可乐、红酒等有色饮料,酱油等深色食物,不要吸烟。24小时以后一切恢复正常了。