!-->

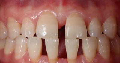
我们身边很多小孩都存在牙缝隙大的情况,就是专业上讲到的牙齿稀疏。儿童牙齿稀疏如此常见,引起牙齿稀疏的原因有哪些?我们先来看看什么是牙齿稀疏。

儿童牙齿稀疏的原因有以下四点:一是牙体形态小,颌骨形态正常;二是先天缺牙,颌骨形态正常;三是牙体形态正常,颌骨过大;四是拔牙后不镶牙,引起近远中邻牙移位而产生间隙。儿童牙齿稀疏的危害
牙齿稀疏的特点是牙量小,骨量正常;或骨量大,牙量正常;或牙量小,骨量大;或软组织因素。
可见牙齿大小正常或过小局部间隙多在上中切牙之间或在上颌侧切牙区,牙齿可以排列整齐有时牙齿可以出现近远中向唇舌向错位等不同的错位现象多数散在的牙齿间隙可以出现在上颌下颌或上下颌均出现,一般情况下面部外形多不受影响。

儿童牙齿稀疏的矫正在换牙前和换牙后有很大的差异。
1、乳牙期:有的牙齿稀疏需要矫正,有的则不需要。孩子在乳牙期牙齿稀疏并不能一概而论的,2岁半到6岁左右(乳牙期),如果孩子牙齿数目、形态、大小都正常,颌骨发育也正常,只是牙列中稍有牙间隙,这一般都是正常的,而且此时稍稍微的牙间隙有利于恒牙的正常萌出,临床上一般无需要矫正。口内先天缺牙,颌骨形态正常;牙体形态正常,颌骨过大等,其往往造成牙列稀疏,此为疾病的征象,需加以矫治。
2、换牙期:需对症矫治。孩子换牙期,从6岁至12岁左右,此年龄段内,口内乳恒牙同时存在,这一时期牙齿稀疏不常见,临床上常见到的乳牙早脱或恒牙迟萌以及由于唇系带附离异常所致的牙间间隙,这时只要针对病因,对症矫治,常可收到较好的矫治效果。
3、恒牙期:莫错过牙齿稀疏的较佳矫正年龄12-16岁。在孩子12-16岁,乳牙全部替换掉、恒牙萌出后,牙齿稀疏则要及早矫治,这一时期可以做牙套正畸或正颌手术治疗,都能起到良好的效果。若错过12-16岁这一年龄后再行矫治,往往疗程较长、不能肯定。由于成人颌骨已经发育完全,这时候再通过传统的牙套正畸矫正,很难达到效果。
如何预防小孩牙齿稀疏?
纠正孩子不良的口腔习惯,如舔牙、咬唇等。在孩子乳牙期间,如果患儿牙齿数目、形态、大小正常,同时颌骨发育正常,牙齿中出现散在的间隙,看似牙齿稀疏,然而这一般是正常的。此有利于恒牙的正常萌出,临床上一般毋需矫治。如果牙体态小,颌骨形态正常;口内先天缺牙,颌骨形态正常;牙体形态正常,颌骨过大等,其往往造成牙齿稀疏,此为疾病的征象,需加以矫治。乳牙、恒牙同时存在的时候,乳牙早脱或恒牙迟萌以及由于唇系带附离异常所致的牙间间隙,此一时期只要针对病因,对症矫治,常可收到较好矫治效果。恒牙牙齿稀疏一定要进行相关的正畸治疗了。