!-->

很多时候人们由于各种各样的原因,导致自己的牙齿损坏严重不得不被拔除,但是拔掉牙齿后该怎么办呢?是不是一定要马上装假牙?那拔牙后多久可以装假牙呢?

广州越秀圣贝口腔门诊部连锁牙科连锁机构的指出,如果牙齿必须要拔除,则需要等到拔牙创口完全愈合以后,才能进行准确的牙齿扫描从而制作正式的假牙。
拔牙创口的完全愈合需要有一个过程。在正常的情况下,拔牙后在牙床上会留下一个很深的创口,里面充满了血凝块,。过后会慢慢长出修复性肉芽组织,逐渐填满这个创口,并逐渐长平,直到创口完全愈合,拔牙创口的骨头需要3个月才能基本长好。拔牙后,必要时可先做临时假牙,可以进行正常的牙齿咀嚼和说话。假牙用什么材料好?
拔牙后一定要装假牙,如果长期不修复导致牙齿空缺,则会造成邻牙向间隙倾斜,对颌牙也会因无咬合而向外伸长,导致牙根外露。会影响你的咀嚼功能,影响美观和发音,还会造成缺牙区牙槽骨吸收萎缩,缺牙区两侧牙向缺隙区倾斜,相对应的牙伸长,并对将来的修复造成影响。拔牙后,必要时可先做临时假牙,等伤口复原到理想的程度后,再做正式的假牙。
拔牙以后,牙齿修复的较佳时间是三个月到半年,并不是每个人拔完牙2-3个月就一定能装假牙的,有的人因为拔牙时损伤较大或者组织修复很慢,3个月创口还是愈合不好,等待的时间可能要更长一些;还有的人缺牙处牙槽骨高低不平,甚至存在骨突和骨尖,那么还需要进行牙槽骨修整手术,特别是全口拔牙后的病员常常会碰到此类问题。

【广州越秀圣贝口腔门诊部】
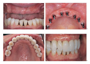
广州越秀圣贝口腔门诊部连锁采用目前先进的种植之一。耐用持久,世界上颗种植牙已正常使用40年。运用广泛,适用于牙齿缺损、牙列缺损、全口无牙。品 质坚硬,基台坚固,稳定性强,大限度恢复正常咀嚼功能,咬合力达到正常牙的98.98%;生物相容性极好,口感良好,无任何异物感,临床适应症高于 98.98%,不良反应低于0.02%;美学效果良好,大限度还原真牙形态;定位准确,无其他损伤,种植体直接嵌入牙槽骨,不损伤相邻牙齿; 有效防止牙齿缺失后牙槽骨继续萎缩。经过一段时间后,种植体就会与周围的骨组织发生骨结合,并为牙齿修复体如牙冠、固定桥、部分活动义齿或全口义齿提供坚固的固位力。

看牙 圣贝
俗话说,身体要想健康,首先牙口要好。有一则“牙好,胃口就好,身体倍棒,吃嘛嘛香”的广告语闻名全国,但与此同时,“牙痛不是病,痛起来要人命”让许多人提及看牙闻之色变。
圣贝连锁牙科连锁医疗机构在业界诊疗过程率先采用可调节电子镇痛仪,通过实现对末梢神经疼痛传导的阻碍,进行局麻下的治疗;笑气通过吸入麻醉实现全身心的放松,大限度地避免疼痛的恐惧,破解了业界及顾客困扰的难题。使看牙疼痛从此成为历史,快乐看牙变为现实,真正实现看牙后冷热酸甜,想吃就吃,让您再次享受充满美食快乐的品质生活。