!-->
项目大全
「广州越秀圣贝口腔」 > 最新资讯 >
广州四环素牙美白多少钱,公立医院收费价格
来源:未知 | 时间:2019-09-18 | 阅读:
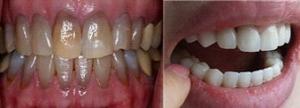
  近年来我们不仅关注牙齿健康的同时,还关注着口腔的整体形象,两者相加是很多人的追求,治疗四环素牙的费用是根据个人的牙齿病症程度不同,选择的治疗方法也不同,最终治疗费用自然也有所不同。那么,广州四环素牙美白多少钱?广州圣贝口腔医院专家为您介绍:
  美白四环素牙的费用受以下因素影响:
  看患者所选用的牙齿美白方法。不同美白方法,价格是不一样的。如今牙齿美白方法有很多,如常见的牙齿漂白等等,这些牙齿美白方法是不同,有着不同结果,当然价格肯定也就不一样。
  跟牙齿的情况有关。牙齿变色的现象都是不同的,变色的原因也不同,有内源性着色和外源性着色等不同的情况,所以在治疗的时候就要根据每个求美者的牙齿综合情况来选择适合的治疗方式。从而可以让牙齿得到更好的改变,也可以让你对自己更有自信,根据你所选择的治疗方式来确定牙齿美白的价格。
  要看医生的资质。因为牙齿美白的结果也是有差别的,牙齿美白也没有统一的价格,不同地方不同医院的价格都不同,所以针对牙齿美白的价格需要综合考虑。
  根据以上的回答,相信您已经有了一定的了解。如果遇到各类牙齿问题一定要及时的治疗,以免给大家带来更严重的后果。另外对于看牙相关的问题通过网上预约挂号,可享受免挂号费、全口检查费、到院无需排队优先就诊服务。

上一篇:广州圣贝口腔蛀牙修补优惠价格
下一篇:广州国际化专业口腔牙齿美白价格表