!-->
项目大全
「广州越秀圣贝口腔」 > 最新资讯 >
广州医院哪里补牙好,专业口腔告诉您不及时补
来源:未知 | 时间:2019-09-12 | 阅读:
  补牙是我们生活中比较常见的一种牙齿修复技术,因为缺牙齿笑起来的时候太不好看了,所以很多人都会因为牙齿缺损或是蛀牙而导致需要补牙修复,而对于现在我们补牙所选择的医院还是有很多的,那么广州圣贝补牙哪里好?
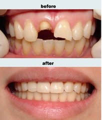
  补牙前后对比
  医生介绍:对于牙齿缺失我们都应该持及早发现、及早治疗的态度,对于常见的龋齿补牙也是如此的。生活中,如果患了龋齿,也应当要及时的进行补牙。但是很多人都没有这样的意识,补牙不及时的危害有很多。
  不及时补牙会有哪些危害呢?主要有以下影响:
  1、响面部美观:牙齿的缺失影响面部美观,如果是门牙缺失不镶牙,人们自然会注意到美观问题,可是当上、下、后牙缺失较多或全口牙缺失时,面下部的垂直距离变短,面部的皱纹增加,人便显得苍老,这一点一般人没有体会。
  2、咀嚼功能将减退:牙齿的主要功能就是咀嚼食物,前牙也就是门牙有撕裂食物的功效,后牙具有磨碎食物的作用,它的缺失尤其是缺失较多时又不及时镶牙对咀嚼的影响程度更大。
  3、发音功能出现障碍:缺失前牙对发齿音(知、吃、诗),舌齿音(特、勒)唇齿音(五、万)等音的准确性有影响,这会使教师、演员及翻译工作者感到不便。
  4、会引起牙周组织病变:这方面往往被多数人忽视。一个或两个牙缺失,相邻牙则可向缺牙间隙倾倒移位,移位又可造成邻牙的小间隙出现。
  5、对颞下颌关节的影响 不及时镶牙可造成关系紊乱,其紊乱又可带来创伤的出现,阻碍下颌前伸及侧方运动,一侧多数牙缺失形成偏侧咀嚼,咀嚼肌受力不均呢
  关于“广州圣贝补牙哪里好”的问题就解答到这,希望可以给广大朋友们带来一定的帮助,为了您的健康,请选择正规的医院进行治疗,以免给您的健康带来危害,如果你的牙齿出现什么问题,可以在线客服,同时通过网上预约挂号,可享受免挂号费、全口检查费、到院无需排队优先就诊服务。

上一篇:广州修复一颗牙多少钱?修复牙齿收费标准,让你
下一篇:广州隐形矫正多少钱?专业口腔隐形矫正价格