!-->
项目大全
「广州越秀圣贝口腔」 > 最新资讯 >
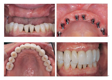
广州全口种植牙价格是多少,老年人口腔种植医
来源:未知 | 时间:2019-09-11 | 阅读:
  在生活中很多老年人都全口无牙,现在甚至是一些中年人也出现这一状况,全口无牙严重影响口腔功能,因此,有很多患者询问,全口无牙能不能进行种植牙,全口种植牙价格也是很受关注的,接下来广州圣贝口腔医院专家为您介绍全口种植牙价格:
  人工种植牙技术已经被运用很久,但人工种植牙价格却一直居高不下,这是为什么呢?人工种植牙价格的高低主要取决于以下几点:
  种植牙的设备:种植牙过程中除了材料之外还需要X线检查,临床治疗、技工设备等等成本也是相当高的,致使种植牙价格一直过高的另一个原因。
  种植牙的人力资源:不论是研究还是到然后的运用,种植牙技术都投入相当大的人力资源,使得必须从种植牙价格中有所回报。
  种植牙的材料:由于种植牙工艺手法的材料成本相当高,这是种植牙价格无法降低的主要原因。
  人工种植牙也就是种植牙,并不是真的种上自然牙齿,而是通过医学方式,将与人体骨质兼容性高的纯钛金属经过精密的设计,制造成类似牙根的圆柱体或其他形状,以外科小手术的方式植入缺牙区的牙槽骨内,经过 几个月后,再在人工牙根上制作烤瓷牙冠的。
  圣贝口腔是一家专业正规的牙科连锁医院,拥有专业强大的国内外医疗组成的团队,技术力量雄厚,集预防、保健、治疗、美容、修复为一体,是具有水准的大型现代化口腔治疗专科。帮您实现牙齿的美丽蜕变!为了您的安全和治疗效果,一定要选择正规的种植牙口腔做手术,种植牙当谨慎,切忌盲目种植。

上一篇:广州补蛀牙大概多少钱,专业口腔收费标准
下一篇:广州四环素牙美白多少钱,美白效果展示