!-->
项目大全
「广州越秀圣贝口腔」 > 最新资讯 >
广州补蛀牙要好长时间,快速治疗蛀牙
来源:未知 | 时间:2019-09-10 | 阅读:
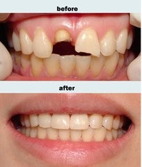
  蛀牙是一种很常见的口腔问题,同时你不及时治疗的话也会给你带来不小的困扰,很多人在长蛀牙之后,都会有牙洞出现,有蛀牙的患者尽早去医院通过补牙的方式做填充治疗比较好。但是由于现代人工作比较繁忙,所以大家就想知道广州补蛀牙的时间是多久?下面广州圣贝口腔医院专家为您介绍:
  严重蛀牙多久:大部分患者,由于蛀牙没有得到及早的发现和治疗,病变进一步蔓延,此时的补牙难度较大,需要进行延期充填补牙法,先在洞底封上药物,观察几天,如无症状,牙髓活力测试正常,再进行填充;若蛀牙发展成牙髓病、根尖周病,则需先做根管治疗,清除髓腔和根管内的坏死物质和病菌,再进行填充。
普通蛀牙多久:补牙过程非常的简单,只需一次性填充治疗即可,补牙时间一般在半个小时到一个小时左右。
  牙齿不好看既影响个人形象又影响个人交际和生活,因此如果有牙齿烦恼,可以到圣贝口腔医院来解决。圣贝技术实力雄厚,医师治疗经验丰富。会为您提供比较好的服务。
  温馨提示:为了您的安全和治疗效果,一定要选择正规的种植牙口腔连锁做手术。种植牙当谨慎,切忌盲目种植,祝您早日拥有一口好牙。

上一篇:广州哪家牙科医院好?广州圣贝口腔怎么样?
下一篇:广州补蛀牙多少钱,补牙材料有什么区别