
口腔疾病有很多种,最常见的就是牙周病,然而牙周病其实很难发现,就算发现了你自己也很难确定是牙周病,所以很多患者牙周病已经很严重了才到口腔医院进行治疗。

牙周病的形成
牙周病主要是由局部因素引起的牙周组织的病症,局部因素里又分为牙菌斑、牙石、创伤性咬合和其他因素
1、牙菌斑
牙菌斑,就是指附着于牙齿表面的微生物群,不能用刷牙或是冲洗的方式去除。牙菌斑是牙周病的始作俑者,是引起牙周病的主要因素。
2、牙结石
牙石是沉积在牙面上已经矿化的牙菌斑。分为龈上牙石和龈下牙石。龈上牙石用肉眼可以看到,龈下牙石位于龈缘以下、龈袋或牙周袋内的根面上,肉眼不能直视,必须用探针探查才能知道沉积部位和沉积量。
牙结石对牙周组织的危害是非常大的,它为牙菌斑附着和细菌滋生提供了环境,从而更快加速牙菌斑的形成。

3、创伤性咬合
在咬合时,如果咬合力过大或方向异常,超越了牙周组织所能承受的合力,致使牙周组织发生损伤的咬合,称为创伤性咬合。主要包括咬合时的早接触、牙合干扰、夜间磨牙。
4、其他因素
主要包括包括食物嵌塞、不良修复物、口呼吸等因素也促使牙周组织的炎症过程
牙周病的症状
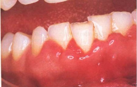
牙周病早期常见现象是有口臭、牙龈受刺激时容易出血,牙龈呈深红色或者暗红色。小贝在最开始已经说过,牙周病早期症状并不是很明显,所以如果有以上症状,不要犹豫,到正规专业的牙科医院为口腔做一个检查~
当随着炎症加重,会出现牙周袋形成、牙周溢脓、牙齿松动、移位等现象。

圣贝温馨提示:每天早晚按时刷牙能够保持口腔清洁卫生,但是只有洗牙才能够有效清洁口腔内的顽固细菌,预防牙周疾病,定期洗牙好处多多。
上一篇:镶牙和种牙的区别
下一篇:洗牙不当反而会伤牙?








