【患者简介】
姓名:张先生
年龄:28岁
症状:门牙蛀牙修复
主治医师:刘赛蓉
治疗项目:微痛根管治疗技术
检查分析:为张先生做了全面的口腔检查,发现张先生除了牙髓病变之外,其他牙齿还比较健康,需要做根管治疗恢复牙齿健康。
【案例回顾】
眼看着近期业绩与往年同期相比连连攀升,可作为经理的张先生却一点都开心不起来。原来一切都是蛀牙痛惹的祸。几天来,不但吃不下、睡不着,连止痛药都不管用。无奈之下,只得放弃与牙齿的“周旋”,寻求解痛之方。
于是张先生在网上进行了一番的咨询,并进行了预约,比较后确定了广州圣贝连锁牙科医院。因为圣贝连锁牙科的有先进的治疗技术。尤其是广州圣贝连锁牙科医院在网上有很好的评价。而且医生们有非常丰富的临床经验。这让张先生非常的放心,所以张先生选择了广州圣贝连锁牙科医院。

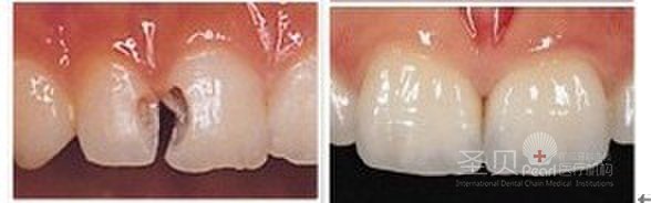
张先生牙齿治疗前后对比图
按照预约的时间张先生来到了广州圣贝连锁牙科医院,医院的专家接待了张先生,圣贝专家建议张先生进行根管治疗,专家向张先生介绍,根管治疗是通过专用的器械通过彻底去除感染的牙髓以及感染的牙本质和毒性分解产物,严密填塞根管,隔绝细菌进入根管再感染。在局部麻醉下钻开牙后,在髓室里放入“杀神经”的药物,在药物作用下牙髓神经坏死失去活力,然后在将其拔除。
张先生听从圣贝专家的安排,进行局部麻醉,很快就结束了治疗,没有任何痛苦。术后专家叮嘱张先生,根管治疗后,可以定期复查,了解组织的愈合情况。在相当一段时间内患者可能会感到被治疗的牙齿不舒服,术后可能出现短暂不适,通常服用消炎或止痛药可缓解。通过几次的治疗张先生的牙痛消失了,看着业绩往上升真的是非常的高兴。
专家讲解根管治疗
根管治疗是针对牙齿、牙髓、根尖病变的一个治疗过程。根管治疗术是通过清除根管内的坏死物质,进行适当的消毒、充填根管,以去除根管内容物对根尖周围组织的不良刺激,防止发生根尖周病变或促进根尖周病变愈合的一种治疗方法。会耽误治疗的时间。
接诊时间:09:00-18:00 节假日不休息
门诊地址:广州市越秀区广州大道中