圣贝专家介绍,在接诊的病人当中,有不少人因为自己的门牙大而一般苦恼,觉得影响自己的形象而想要治疗,今天我们就一起看看门牙大的治疗方法。

门牙大处理方法
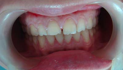
一般对于门牙大,针对不同情况,有两种处理方法。
1、微研磨。如果只是轻微比例失调,只需用车针将牙齿稍微打磨修型即可。
2、烤瓷牙。当牙齿比例失调严重时,选择烤瓷牙是一种一般不错的方法,能达到一个理想的修复效果。
专家指出,门牙稍大属正常情况,如果认为自己门牙过大,一定要及时到医院进行检查。专业牙医在检查对比后会给出建议,一定不要私自到不正规医院进行处理。>>>上传图片,在线为您看诊

专家提醒:烤瓷牙对医生专业技术和经验水平较高。如果烤瓷牙设计不合理,材料不合格,粘贴不牢固等,可能会造成感染,炎症,烤瓷牙脱落,牙龈黑线甚至病变等风险,因此一定要到专业正规医院进行治疗。>>>马上点击咨询哪家医院做烤瓷牙好

全景CT机
为您参考:圣贝牙科
圣贝牙科是一家大型医疗连锁机构,不到两年时间,已在北京、上海等6个城市建立8家分店,实现一店看牙、全国联保、终生服务的连锁体系。
圣贝做烤瓷牙的优势:
1、医生技术娴熟:圣贝医生都是来自全国各地的牙科医师,拥有10年以上的从业经验,您可以放心就诊。>>>点击马上预约专家,还可免挂号费
2、医疗设备先进: 引进行业内先进的设备,如口腔全景机,极束星断层牙、ZEISS数字显微修复系统等,保障治疗效果和安全问题。
3、收费清楚明了:牙科在收费方面,严格按照相关部门标准统一收费,执行透明化、公正化收费。
以上就是关于门牙怎么办的全部介绍,如果您还有疑问,点击咨询,圣贝专家将给你专业的回答。

接诊时间:09:00-18:00 节假日不休息
门诊地址:广州市越秀区广州大道中