生活中很多人会出现牙齿缺损的问题,牙齿缺损常见的原因是龋病,另外外伤、磨损、楔状缺损、酸蚀和发育畸形也可致牙齿缺损。牙齿缺损会给人们的生活带来诸多的不便,同时牙齿缺失会带来许多的危害。

牙齿缺损有哪些危害?广州越秀圣贝口腔门诊部口腔专家表示,牙齿缺损主要会给我们带来以下的一些危害。
一、牙齿缺损会影响面形,牙齿全部缺失后,面颊部和周围肌肉松弛,唇、颊部内陷,口角下垂,面部变形及皱纹增多,整个人看起来会比同龄人苍老许多。牙齿缺损能补吗?
二、牙齿缺损会使患者的发音变得不标准,影响患者的交际活动。牙齿缺损的危害不容我们忽视。
三、牙齿缺损后,咀嚼功能就会大大的衰退,进而影响人体对营养成分的吸收。长期以往就会造成身体的不适。
四、牙齿缺损容易引发龋齿及牙周病等等口腔疾病。
那么牙齿缺损如何治疗呢?成都圣贝牙科口腔专家介绍,现目前牙齿缺损有效的解决办法有两种,一个是做种植牙,另一个是做美容冠。而具体选择哪种,要去医院检查后医生根据牙齿情况后决定。而这里我们广州越秀圣贝口腔门诊部的两款方法。
【种植系统】
种植是目前连锁对口腔牙列缺损、牙列缺失修复的较佳之一。该是通过术前对患者牙槽骨进行数字化的影像扫描定位,并根据相关数据制作定位导向,而后"人工牙根"顺着定位导向植入牙槽骨,当"人工牙根"与牙槽骨生物相容稳固后即可进行镶牙。
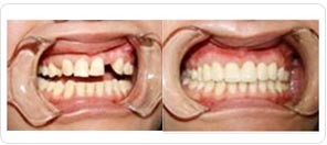
【cerec5D牙美容系统】
cerec5D被誉为“齿科中的高铁”,传统的牙齿美容修复,至少需要一周的时间,西诺德Cerec 3D齿雕、4D齿雕机器人提速至1小时,Cerec 5D如今只要45分钟即可一次性搞定。缺损牙、黄牙、黑牙、龅牙、畸形牙、四环素牙……从此去无踪。
它不仅可以完成多颗连桥修复体,而且以更、更快捷、更美观、更智能地完成牙体修复,具有蓝光全息扫描 、智能化定制 、生物仿生设计 、速度更快、使用寿命、一站式修复等优点。单颗修复从过去需要7——15天的戴牙,现快缩短至45分钟。不得不说,这台被成为齿科“高铁”的高性能牙美容设备,刚上市赢得满堂喝彩。
接诊时间:09:00-18:00 节假日不休息
门诊地址:广州市越秀区广州大道中