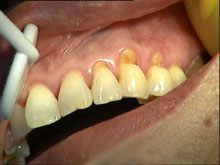
牙齿楔状缺损是牙齿颈部硬组织缓慢消耗而形成的缺损,呈“V”状,由于它的外形酷似木匠用的楔子,因而称之为楔状缺损。牙齿楔形缺损对人们的生活有极大的影响,那么楔状缺损究竟有哪些危害呢?

楔状缺损初期的危害表现为:在楔状缺损患者牙齿的颈部接近牙龈的部位,牙齿硬组织有少量缺损,病情逐渐加重后,便在牙颈部形成由两个平面所组成开头独特的缺损。缺损的表现光滑、坚硬而发亮、边缘整齐、牙本质暴露,有进度染有褐色,对化学温度刺激比较敏感。常伴有牙龈萎缩,牙根暴露,所以自觉牙齿变长,颜色大多为牙齿硬组织本色,呈现微黄色。楔状缺损重者可波及牙髓,造成牙髓炎、根尖炎、甚至 骨髓炎,更严重病例还会发生牙折等危害。而且随着楔状缺损患者年龄的增长,严重程度也随之加重。
楔状缺损后只能采取补牙的方法,所以对于牙齿的楔状缺损一般采用预防的方法。要预防楔状缺损的发生,首先我们要知道它产生的原因有哪些。
1、刷牙。这是发生楔状缺损的主要原因,楔状缺损又称为刷牙磨损。
2、牙颈部的结构。牙颈部釉牙骨质界处的结构比较薄弱,易被磨去,有利于缺损的发生。
3、酸的作用。龈沟内的酸性渗出物与缺损有关。临床上有时见到龈缘下硬组织的缺损。
4、牙齿唇颊侧颈部。是咬合力应力集中区。长期的咀嚼力,使牙体组织疲劳,于应力集中区出现破坏。牙齿缺损 全瓷牙给您带来福音
所以我们平常刷牙的时候要使用正却的刷牙方法,避免横竖及用过大的力刷牙,并选用较软的牙刷和较细的牙膏。咀嚼的时候要交替咀嚼避免应力集中。同时养成定期看牙医的好习惯,能有效预防疾病的发生,并且能做到早发现早治疗。
广州越秀圣贝口腔门诊部口腔
广州越秀圣贝口腔门诊部口腔是一家连锁医院,拥有一个强大的口腔专家团队,汇聚了欧美、亚洲等连锁著名的牙科专家,广州交大、华西、四医大等名校的口腔知名教授,在口内、口外、修复、正畸、牙美容、牙种植等方面都颇有造诣。广州越秀圣贝口腔门诊部口腔拥有的专家、温馨的环境、合理的价格,满意的口碑、成功的治疗案例是你治疗口腔疾病的首要选择,同时医院致力打造“您专属的私人牙医”,这种企划理念彰显了医院专业、权威、、奢华的定位和品质,也可体现医院的综合实力,是您较佳的选择。
接诊时间:09:00-18:00 节假日不休息
门诊地址:广州市越秀区广州大道中