什么原因会导致牙齿缺失呢?牙齿缺失会让严重影响我们的外在形象,而且还会给我们的生活带来很多的不便,那么到底是什么原因导致牙齿缺失呢?应该怎么治疗呢?下面广州越秀圣贝口腔门诊部专家就来为大家详细介绍。

牙齿缺失的原因包括如下:
1、牙周病。患牙周病后,牙周组织逐渐破坏、龈沟加深、形成牙周袋、牙槽骨吸收、牙齿松动脱落等。牙齿缺损什么时候修复好?
2、颌骨的骨髓炎、等也是造成牙列缺损的原因。会导致不均匀磨耗、进而产生牙折、只能拔除。
3、外伤。前牙或后牙均可因受伤而折断或脱落。外伤严重者还可伴有颌骨、牙槽骨、软组织的缺损。
4、随着年龄的增长、牙龈、牙槽骨等牙周组织发生生理性退变、牙龈萎缩,牙槽骨进行性吸收,导致牙齿脱落,但不是缺牙的主要原因。
5、龋病(蛀牙)。患龋病时,牙体的破坏由浅变深,若不及时治疗,则牙齿硬组织不断破坏,以至发生牙髓炎、根尖周炎,造成牙冠缺损,成为残冠或残根。如果形成根尖脓肿,患牙可出现松动、触疼、终因损坏严重无法治疗而被拔除。这也是牙齿缺损的主要原因之一。
6、先天性牙齿缺损。因为牙胚发育受损害主要是釉质发育异常,引起牙齿质地改变使得牙齿缺损。
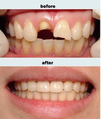
牙齿缺损的较佳修复方法——美容冠
美容冠是一种目前流行于欧美日韩的新兴牙齿美容,该在传统烤瓷牙的基础上强调牙齿的美容效果,针对成人龅牙、老虎牙、老鼠牙、地包天、牙列稀疏、牙齿缺损的临床冠部分施以专美容冠是通过电脑3D定位后,牙齿成形后美观大方,色泽洁白自然,不拔牙,比正常牙齿更坚固,高效快速。运用VITA比色,常年保持美丽天然的光泽,使成形后的牙齿达到完美的色阶统一。
总的来说,美容冠对医生要求很高,是属于很精细的难度很高的一项牙齿修复。在广州越秀圣贝口腔门诊部修复缺损的牙齿是不错的选择!
圣贝牙科医院于1921年起源于,后来发展到了英国,美国和法国,2011年落户中国大陆;实力强大,短短不到两年的时间,圣贝已经在中国的西安,济南,北京,广州,广州,成都拥有了数家连锁机构;群众口碑,圣贝在每座城市都享有盛誉,深得消费者的喜爱。我们成都圣贝的患者大多是由已经在成都圣贝医院就诊过的患者的,慕名而来的。口碑是一个品牌的生命线,广州越秀圣贝口腔门诊部这条生命线是广大患者建立起来的,并且现在由更多的患者对圣贝的喜爱和信赖不断地壮大起来。
接诊时间:09:00-18:00 节假日不休息
门诊地址:广州市越秀区广州大道中