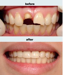
全瓷牙是我们修复牙齿经常选择的对象,全瓷牙也凭借自身优势没有让我们失望。也正因为全瓷牙优势众多,从而使大家认为全瓷牙费用高的现象,那么,到底全瓷牙修复多少钱呢?

广州越秀圣贝口腔门诊部口腔专家表示对于全瓷牙修复多少钱这个问题并不能给出一个特定的数字,因为它受多方面影响。常见的影响全瓷牙多少钱的因素有:
1、全瓷牙在地域上的差异:物价的差别是导致全瓷牙价格不一的一大因素。广州全瓷牙哪种比较好?
2、制作全瓷牙材料的不同:就像铸瓷冠、二氧化锆全瓷牙、氧化铝全瓷牙等,它们都是属于全瓷牙家族,却因为构成自身的材质不同,在这些全瓷牙价格就相差很大。
3、制作全瓷牙工艺的差距:高水平的全瓷牙制作技工可以根据患者自身的特点来为患者量体做全瓷牙,制作出更加适合患者的全瓷牙。一般来讲,在全瓷牙价格方面也会相对偏高。
4、全瓷牙的医院:全瓷牙价格与所选的全瓷牙的医院所有关。
5、全瓷牙专家:全瓷牙价格还受所选择的专家来决定的。
广州越秀圣贝口腔门诊部口腔,看牙更专业!
广州越秀圣贝口腔门诊部口腔是一家连锁口腔专业机构,具有连锁水准的大型现代化口腔治疗专科,集预防、保健、治疗、美容、修复为一体,组建了由多位博士生导师和国内外知名专家构成的专业口腔专家队伍,为广大群众口腔健康保驾护航。
接诊时间:09:00-18:00 节假日不休息
门诊地址:广州市越秀区广州大道中