美容冠以其独特的优势成为牙齿美容修复中的佼佼者,美容冠由欧美引入的新兴美齿,针对那些排列不整齐的牙齿的牙冠部分进行科学的修整,给牙齿不整齐的牙齿戴上一个漂亮的“帽子”,可、快速矫正修复,无需拔牙,全程。生物相容性好,牙龈不会出现黑线,快速还你洁白整齐牙齿,终生美齿。

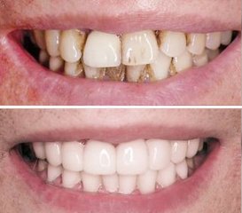
广州越秀圣贝口腔门诊部连锁牙科的5D美容冠效果怎么样?据广州越秀圣贝口腔门诊部连锁牙科的的专家介绍,5D美容冠效果怎么样可以从下面几点看出来:
1、自然美观,晶莹剔透。可以提供美观自然、富有活性的修复效果,5D美容冠牙齿采用新采用5D数码定位系统,分析你的牙齿形态以及病症,由专业口腔专家为你制定个性美牙方案,成形后的牙齿美观大方,与真牙一模一样。5D美容冠是什么材料做成的
2、色泽逼真,接近天生牙。全瓷冠全瓷制作,完全不用金属基底,其层次、色泽接近于真牙,对牙龈无刺激性,对光线的反射更接近天生牙,拥有绝佳的光学性质,极好的生物相容性。
3、生物相容性好,没有金属过敏反应。很多女性对金属瓷冠中的金属有过敏反应,所以许多患者出于这方面的考虑,更愿意选择全瓷冠修复。
4、:采用笑气看牙,美牙不需动及牙齿根部,解除你爱美又怕痛的顾虑,整个过程在轻松的音乐中完成。
5、坚固持久:5D美容冠比传统烤瓷牙更坚固,新科技的粘贴,美牙不脱落,数据分析显示,经“5D美容冠”后的牙齿至少可以承受50公斤拉力。
6、科技快速:新科技成果的应用,利用新的Cerec5D辅助,由于采用4颗马达,两颗以上冠可同时开工,单颗冠从扫描、设计、制作、戴牙从1小时提速至45分钟。一次性完成全部治疗过程,无需复诊。
Cerec5D齿雕系统通过全口CT扫描充分了解口腔情况,对牙齿的通透感,牙齿边缘的起伏轮廓感都颇为考究,仅仅颜色确定就包括29道程序,每一颗都精雕细琢,成型后与自然的牙齿一样,无论形态与色泽,都与真牙100%一致,晶莹透亮。
广州越秀圣贝口腔门诊部连锁牙科医院Cerec5D美容冠自临床运用以来,一直深受好评!成为目前人们广泛接受、权威、的美齿方式,对暴牙、虎牙、老鼠牙(个小牙)、地包天、前牙拥挤、前牙稀疏、牙列不齐、牙齿缺损、门牙有逢、烤瓷失败、错过矫正黄金期的成年人以及重度四环素牙等都具有治疗和美容修复功能,可谓治齿、矫齿、美齿一举三得。
广州越秀圣贝口腔门诊部连锁牙科引进至高品质的口腔材料,对牙龈不产生刺激,可靠,不只是片面地解决牙齿的健康,更致力于牙齿比例、颜色、排列的线条都能更臻完美,将连锁口腔医学和美学双管齐下。广州越秀圣贝口腔门诊部连锁牙科个性化设计,打造彰显个性的完美靓齿,让您能自信开口,展示健康口腔活力,品味生活点滴。
接诊时间:09:00-18:00 节假日不休息
门诊地址:广州市越秀区广州大道中