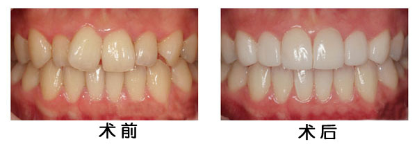
随着社会的发展,人们对于自身面貌也越来越关注。很多人都注重牙齿的美白,一口好的牙齿才能让人谈吐自如。自从美容冠被引进中国后,便受到广大消费者的追捧,因为美容冠具有修复牙齿不拔牙、不伤牙、手术时间短等优点。美容冠不仅能够美白牙齿还能矫正牙齿畸形,让你拥有一口整齐洁白的牙齿。但是要做好美容冠,首先得找一家专业正规的医院,才能放心就诊。

任何事物都有它的缺点,美容冠也一样有着缺点。美容冠的缺点表现在它的强度和耐磨性方面不如金属材料。瓷有一定的脆性,使用不当可能会出现崩瓷现象,而且不好修补,即使勉强修补,效果也不理想。并且美容冠有使用寿命:与手术过程、个人口腔、选择的美容冠类型和术后调理有关。在美容冠制作中,可能需要磨除多余的牙齿。所以选择一家专业的医院才能让你没有后顾之忧。专家广州越秀圣贝口腔门诊部口腔。
选择圣贝的理由:
1、 圣贝是一所连锁医院,有国内外著名牙医坐诊,让你放心看牙。
2、 全程与患者沟通,依照患者的意愿量身制定方案。
3、 采用独有的 5D,立等可戴,无需磨牙,只需一次就诊,寿命。
4、 优质的服务,术后给予专业的指导,定期回访,给你终身呵护。做5D美容冠需要多少钱
一个医院是否有合格的医疗标准是至关重要的,这关系到患者的身体及身心健康。广州越秀圣贝口腔门诊部口腔通过JCI认证的圣贝连锁牙科,致力于为患者打造会所式流畅、高效、的医疗服务。实行预约式服务,保证患者就医效率;创建患者资料交接卡,保证从咨询到就诊结束各个环节完美衔接;独立备案患者病例,用心做好后期服务。对每一位患者,每一台手术都严格执行“三无”,全力打造“金质”医疗标准。
接诊时间:09:00-18:00 节假日不休息
门诊地址:广州市越秀区广州大道中