老鼠牙不仅对容貌造成影响,同时对口腔也会造成一定的影响,所以一旦发现有老鼠牙,就要尽快的选择正规的医院治疗。那么老鼠牙该怎么办?下面就由广州越秀圣贝口腔门诊部口腔专家对此进行介绍。

广州越秀圣贝口腔门诊部口腔医生介绍:老鼠牙对人体的损害主要有两个方面:
1、老鼠牙会严重影响一个人的容貌、气质。其不仅对唇型、脸型会产生影响,而且让人会因为牙齿排列不整齐而表现得不够自信,不仅不敢笑,就连说话也得遮遮掩掩。原本相貌姣好的一个人就因为老鼠牙而变得自闭,白白丧失掉许多良机。牙齿是老鼠牙怎么办?
2、在有老鼠牙的情况下,牙面凹凸不平、牙与牙之间的不良接触关系,形成了不易清洁区,很容易滞留牙菌斑、食物残渣。从而导致牙龈炎、牙结石、牙面色素沉着、口臭、龋坏等口腔疾病。
老鼠牙的修复方法有哪些?
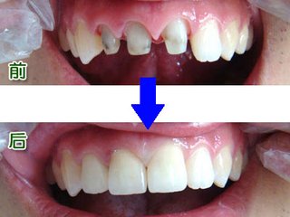
老鼠牙可通过通过美容冠进行修复。广州越秀圣贝口腔门诊部口腔的美容冠是从引进的,这是目前在日韩、欧美一般流行的,打破了过去拔牙、磨牙、取模、刻腊、烧瓷等传统程序,运用计算机辅助设计和制作,一次性完成备牙、光学取模、设计、研磨、试戴、安装等全部程序,整个过程仅需45分钟,真正实现“立等可戴”的神话。
以上就是专家对老鼠牙危害及修复方式进行介绍,如您还有不明白的地方或者疑问可直接点击我们的在线咨询,相信专家们会给您一个满意的答复。如果您还有任何疑问,可以点击我们的在线咨询或者通过QQ、微信、电话与我们取得联系,广州越秀圣贝口腔门诊部口腔为您服务!
接诊时间:09:00-18:00 节假日不休息
门诊地址:广州市越秀区广州大道中