过小牙是口腔疾病中的一种牙齿畸形症状,虽说很少有人会对过小牙引起重视。但是,随着人们对牙齿美丽的越来越关注,过小牙也逐渐的被人们所注意。那究竟过小牙有些什么危害呢?以及治疗的方法又有哪些?对于这些问题,今天,广州好的牙科医院————广州越秀圣贝口腔门诊部连锁牙科连锁医疗机构为大家一一解答。

过小牙的危害:
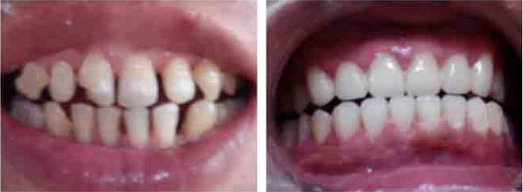
1、过小牙会严重影响一个人的容貌、气质。其不仅对唇型、脸型会产生影响,而且让人会因为牙齿排列不整齐而表现得不够自信,不仅不敢笑,就连说话也得遮遮掩掩。原本相貌姣好的一个人就因为过小牙而变得自闭,白白丧失掉许多良机。矫正过小牙的较佳年龄
2、在有过小牙的情况下,牙面凹凸不平、牙与牙之间的不良接触关系,形成了不易清洁区,很容易滞留牙菌斑、食物残渣。从而导致牙龈炎、牙结石、牙面色素沉着、口臭、龋坏等口腔疾病。
而对于过小牙的影响有所了解了,是不是急切的需要得到广州过小牙治疗呢?广州牙科医院专家指出,针对过小牙的治疗方法,一般采用的就是通过美容冠进行矫正修复。
美容冠是一种新兴牙齿美容,在传统烤瓷牙的基础上强调牙齿的美容效果,对错位牙、畸形牙的临床冠部分施以专业手段,后用美容冠加以修复。具有美牙不拔牙,苦,时间短,牙齿坚固,多年后牙龈不会出现黑线等优点,从而达到终生有保障的美牙效果。但是传统的美容冠要长达7天之久。而广州越秀圣贝口腔门诊部引进的cerec5D美容冠,从原来的7天缩短到45分钟。让美容冠矫正坐上了“高铁”。
cerec5D优势:45分钟甩掉丑牙不是梦
1、全新短波蓝光 重释精度:在自动调控模式中,高性能的半导体发射出短波蓝光(Cerec AC),能够快速、准确地获取光学图像,产生的光学图像一般准确,可以在不足一分钟的时间内获取口腔多个单元的图像,对合牙的影像获取只要几秒钟。这个不仅适用于单冠,也适用于多张图像采集及多个单位桥的制作。
2、光学印模 智能化定制:Cerec Biogeneric利用了制备体周围的剩余牙体组织为参数量。牙冠,口内获取基牙及的完整牙齿,对合、相邻牙齿或对侧牙齿的数字化印模。Biogeneric为每位患者量身定做修复体。
3、生物仿生设计 自然美观:生物仿生设计是对咬合面设计的一次革命性创新。它是根据患者不同的牙齿形态为基础来重新设计咬合面的,Cerec 5D全瓷修复体与天然牙齿的形态和颜色一般匹配,全瓷材料的通透性可与天然牙齿媲美,确保牙龈组织健康自然,不会暴露牙冠边缘。
4、专用瓷材 坚固耐用:材料具有生物相容性并且不含金属。因此,可以与原有的金属修复体连接,避免了由腐蚀和不相容所产生的问题,修复体美观的外形不含不透光的金属结构,不会发生对牙龈的刺激和牙龈收缩。
5、全程可视 真实可靠:患者可与圣贝口腔医生一起设计烤瓷牙,亲眼看到牙齿加工全过程。
6、快速 方便快捷:运用CAD/CAM原理研发,由计算机支持设计制作,一次性完成全瓷修复体、全冠和贴面制作过程。由于采用4颗马达,两颗以上冠可同时开工。单颗冠从扫描、设计、制作、戴牙从1小时提速至45分钟。
7、材料强 寿命长:结合亲贝美容系统所使用的材料强度更高,维护得当,一般能使用8 至数年以上。
接诊时间:09:00-18:00 节假日不休息
门诊地址:广州市越秀区广州大道中