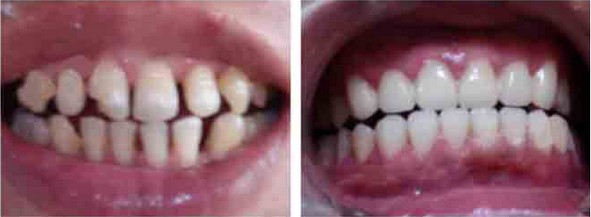
我们俗话所说的“老鼠牙”,是因为牙齿形状又尖又小而得名的,在医学上被称为“个小牙”。广州越秀圣贝口腔门诊部口腔(口腔连锁医院)专家指出:又尖又小的牙齿不但不具备健全的咀嚼功能,同时也影响面部美观。因此老鼠牙应该及时修复。那么,修复老鼠牙的价格多少呢?下面广州越秀圣贝口腔门诊部口腔专家就来为大家详细介绍。

老鼠牙怎么修复?
广州越秀圣贝口腔门诊部口腔的5D美容冠——打破了过去拔牙、磨牙、取模、刻蜡、烤瓷等传统程序,运用计算机辅助设计和制作,一次性完成备牙、光学取模、设计、研磨、试戴、安装等全部程序,整个过程仅需45分钟,即可拥有一口洁白整齐的牙齿!广州越秀圣贝口腔门诊部口腔的5D齿雕美容冠将VITA比色和口腔内窥镜数码数码定位有机结合,美牙不拔牙、苦、时间短、坚固耐用、不会出现黑线,又快速!儿童老鼠牙的原因
美容冠修复老鼠牙的价格多少呢?
专家表示,美容冠矫正老鼠牙的价格是根据每个畸形牙患者口内牙齿畸形情况按颗数来计算,所以美容冠的价格也不尽相同。“美容冠”矫治整个过程短,美牙后牙齿更加坚固、效果显着终身复发,所以美容冠从各方面就显得更胜一筹!因此,综合各方面的考虑,美容冠的价格还是比较优惠的,也是广大求美者都消费得起的牙齿矫正方法。
5D齿雕美容冠的优点在哪儿呢?
优点一:仿生牙齿,坚固耐用
5D齿雕美牙冠大程度上模仿真牙的生物机械性和结构完整性。5D齿雕美牙冠每颗美牙冠都由外部的仿生瓷、中间的纳米瓷粉、内部的生物瓷经高温融合而成,在结构上与真牙的牙釉质、牙本质完全相同,同时根据人体工程学原理,设计改造个人口腔咬合关系,从而达到与真牙一致的感觉。
优点二:健康牙齿,杜绝牙齿疾病
5D齿雕美牙冠以生物瓷为主要材料,其良好的物理"惰性",使美牙冠牙齿不会受各种酸碱度不同的食物、液体的侵蚀,更的放射性,增加了美牙冠的使用寿命及性,大限度杜绝牙齿疾病发生。
优点三:颜色美观,高度和谐
5D齿雕美容冠是由专业的美牙医生利用三维数码立体成像,将美学和口腔医学完美融合,根据个人肤色、脸型、牙列特点,利用新激光雕刻,全方位修整、微雕、对比,制定出本人整体牙列、口腔维度为匹配的牙齿形态。
优点四:有效保护原牙,
5D齿雕美牙冠完全符合口腔医学和人体工程学,选用连锁材料,美牙后牙齿坚固耐磨,美容冠与原牙紧密贴合,有效保护原牙,,终身有保障,不会出现牙龈红肿、牙龈发黑等现象。
接诊时间:09:00-18:00 节假日不休息
门诊地址:广州市越秀区广州大道中